每一个宝宝都希望有一口好牙,但是他自己决定不了。大人的认知,决定了孩子有没有蛀牙。
根据第四次全国口腔流行病学调查报告,我国3-5岁儿童患龋率非常高,3岁儿童一半有蛀牙,到了5岁,10个小朋友有7个蛀牙。但是,每100个蛀牙,只有8颗牙做了补牙,92颗牙没有去补。
目前,我国还处于患龋率上升的阶段,发病特别早,发展得很快,治疗率相对特别低。同时,牙周病发病率也居高不下,我国90%以上成年人有不同程度的牙周病。
牙齿出问题如此普遍,其中到底有哪些常见的误区和真相?
今天小编特地邀请了南方医科大学深圳口腔医院(坪山)儿童口腔科主任 徐稳安 博士,来打破大家关于牙齿的一些认知。
误区一:
乳牙反正要换,可以不用管,少一个也没关系

▲乳牙的萌出
乳牙从6个月左右开始萌出,2岁半左右全部长齐,一共20颗,然后到六岁,恒牙开始萌出和替换,到了12-13岁左右,长齐全部牙齿(智齿除外)。
关于乳牙的真相:
1、乳牙要用很多年
乳牙从六个月到六岁,一直到换完牙齿,每一颗乳牙都是唯一的,而且要用很多年。
2、每一颗牙都有特定功能
不管是乳牙还是恒牙,每一颗切牙、尖牙、磨牙,都是要行使特定功能的器官。(智齿除外)
3、不是所有的牙都会换
有的牙齿是悄悄萌出的,比如最常发生蛀牙的“六龄牙”。
有的家长说,“哎呀,我家小孩这个牙没换过的,所以蛀了也没管它”,结果到医院来看,这个牙是没得换的,后悔莫及。
4、乳牙不好也会影响恒牙
小孩子有蛀牙、牙周疾病,首先吃东西会受影响,营养不够,孩子生长发育会受影响。
蛀牙很影响美观,发音也不清楚,可能引起社会交往困难、自卑等心理障碍。
乳牙不好,也会影响恒牙。乳牙龋病严重会引起疼痛、感染等,拖延不治疗,发展成根尖周炎后,还会影响继承恒牙的发育和萌出。

误区二:
蛀牙是小问题,不痛就可以不理
孩子的眼睛、心脏出了问题,你一定很紧张。都是器官,为什么到了口腔上,一切都成了小问题?
从蛀牙开始,拖成严重的牙髓炎、根尖周炎,是每天在牙椅上演的悲欢;每一个孩子牙疼、看牙时的哭声,是家长对牙齿问题的忽视与拖延。

▲蛀牙(龋齿)的过程
蛀牙,又叫虫牙,但并不是由虫子导致的。龋病是一种在口腔内以细菌为主的作用下,牙齿表面逐渐破坏、崩解形成龋洞的一种慢性进行性疾病。
关于蛀牙的真相:
1、蛀牙发展不可逆
从健康的牙齿,到慢慢发展成龋齿,发展过程是不可逆的。
2、痛了说明很严重
一开始只是牙菌斑,通过刷牙、使用牙线就能去除,成本最低。
然后是浅龋,程度最轻的蛀牙,补一次就好了,孩子没有感觉,治疗费用很低。
慢慢发展成牙髓炎,也就是牙齿会痛,这时候治疗就费钱费时了。
3、预防蛀牙应尽早
牙齿问题不会自己好,所以,早预防、早期治疗特别重要。
“小洞不补、大洞吃苦”,等到疼了再来,不仅小朋友受苦,有时候已经晚了,想补都补不了。
误区三:
孩子爱吃糖,才发生蛀牙
关于龋病的病因,医学上归结为“四联因素”,就是:
致龋细菌:口腔内天然存在的变异链球菌,被认为是龋病的主要致病菌
敏感宿主:对龋病的易感程度受牙齿结构、唾液和机体全身情况影响
含糖食物:细菌代谢作用使糖发酵产生酸,使得牙齿硬组织溶解破坏主要是“游离糖”。
时间:一般情况下龋洞的形成需要长达1-2年以上的时间,但乳牙发展较快。

关于吃糖的真相:
1、不是所有的甜食都会蛀牙
并不是所有的甜食都会蛀牙,也不是说,不甜的就不会蛀牙。
这主要是因为细菌容易利用的是“游离糖”——经过加工提炼被游离出来的糖分。
比如,尽管甘蔗很甜,其实是不容易引起蛀牙的,因为糖分结合在天然食物里;但如果把甘蔗加工成为白砂糖,那么就容易引起蛀牙。
同样,吃水果是不容易蛀牙的;但如果榨成果汁,它就容易蛀牙了,因为糖分被游离出来了,那口腔里面的细菌就很容易去利用它。
2、小朋友可以吃糖
当然,不让孩子吃糖是残忍的。其实,小孩子完全可以吃糖,如果在相对固定的时间吃,吃完及时刷牙漱口,龋齿风险就会小很多。

▲来源:《出圈吧深圳医生》
误区四:
家长有蛀牙,孩子也容易蛀牙

关于“龋齿遗传”的真相:
1、蛀牙不会直接遗传
与遗传有关的只是龋齿的易感性。
比如牙齿的结构、形态,咬合面的窝沟情况,牙齿是否排列整齐以及唾液的质量等。
2、蛀牙其实可以“传播”
龋齿在某种程度上,也是可以“传播”的。
生活在一起的家庭成员之间,由于饮食、口腔卫生习惯和亲密接触等导致口腔菌群组成趋向一致,从而表现为龋病的发生有家族聚集性。
简单地说,如果大人是容易龋齿的,那么口腔里面这种引起龋齿的细菌特别多,那么小孩子可能就容易龋齿。
3、医生提醒:大人不能咀嚼食物给孩子吃。
否则,容易传播口腔细菌、幽门螺杆菌等。建议实行分餐制。
误区五:
孩子从小刷牙,应该不会蛀牙

▲改良BASS刷牙法
刷牙要讲“三三制”,成年人28颗牙,每天刷3次,每次刷牙三分钟,几个月的宝宝才长两颗牙,每次30秒就够了。
关于“牙齿预防”的真相:
预防龋齿不仅仅是刷牙,而是一个系统工程。
家长可以这样做:
1、孩子长牙前
合理地掌握喂奶时间,戒除孩子含着奶瓶睡觉的习惯。
喂食完宝宝后,及时清洁口腔,长牙一般六个月左右,提前给小孩子清洁,孩子以后更容易接受刷牙。
2、长第一颗牙就要刷牙
让孩子养成早晚刷牙的习惯,但不等于把刷牙这件事,完全交给孩子自己。
从长第一颗牙开始就要刷牙,但是小朋友在七八岁之前,都是没有办法刷得很干净的,一定是需要家长帮忙的。
儿童要用小头、软毛牙刷,以及专门的儿童牙膏,不要用成年人牙膏,因为氟的含量是不同的。
3、定期涂氟
在牙齿表面,局部使用氟化物,可以增强牙釉质对抗酸的抵抗能力,同时还能抑制这些细菌的生长。
所以,日常要用含氟牙膏,还有每三个月定期涂氟,孩子龋齿的风险会降到很低。

4、窝沟封闭
牙齿两个地方容易坏,一个是叫窝沟,另外一个是两个牙之间,窝沟封闭就像给牙齿穿上防护服或盾牌,能够去做好保护,也让牙齿更容易清洁。
如果已经蛀牙,那就做不了窝沟封闭。
窝沟封闭和定期涂氟,可以大大的降低孩子患龋齿的风险。


▲窝沟封闭的最佳时机
适合做窝沟封闭的三个阶段:
乳牙:三岁左右
六龄齿:7~8岁(深圳小学二年级免费,可以到定点医院做)
12-13岁:也可以进行窝沟封闭。
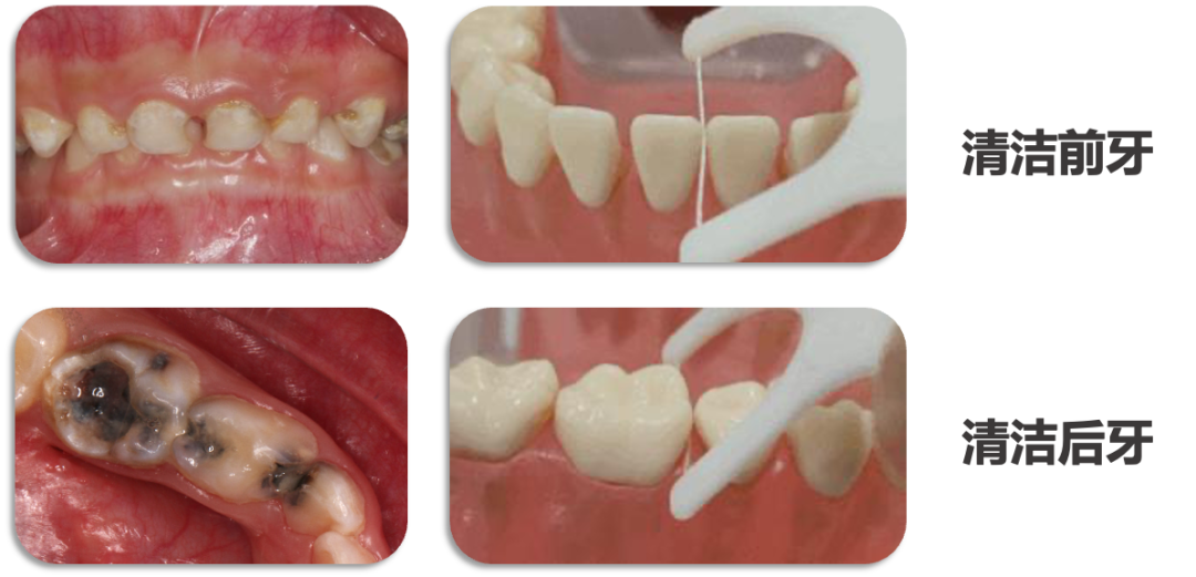
5、让孩子学会用牙线
刷一颗牙,只能刷到三个面,而一个牙有五个面,牙齿的相邻两个面是刷不到的,这个地方也容易蛀牙。
该怎么办呢?可以使用牙线。牙线适合成人,也可以给孩子使用,小朋友的牙缝经常塞东西,就可以用牙线解决。
正确使用牙线,并不会造成伤害,几乎每位牙医都会每天使用牙线。

6、必要时洗牙
小孩子洗牙,会不会不好?当然不会。
在临床上,对于龋齿、牙周病严重的儿童,口腔卫生状况不太好,治疗的第一步往往是洗牙。
在平时如果很难做好孩子的口腔清洁,家长可以带孩子定期洗牙,也能预防龋齿。
误区六:
孩子牙齿不整齐,等换完牙再去矫正

关于青少年牙齿矫正的真相:许多牙齿问题需要提前干预
排齐牙齿,恢复正常的咬合关系,有利于牙齿清洁。
常规的正畸治疗一般是在12~13岁,女孩子可能会早一点,可能11岁就换完了,这个时候是最佳矫正时机。
但是有一些不良口舌习惯造成的一些问题,比如地包天、牙齿合不拢、牙特别龅等,一旦出现就要及时就诊,进行早期干预。
误区七:
一想到看牙就焦虑,牙科操作都很恐怖
在大家印象里,儿童牙科都是很吵闹的,到处是哭声。
其实,看牙并没有那么恐怖,很多医院采用口腔舒适化治疗技术,不论是孩子还是成人,看牙都可以很舒服、很简单。
比如,在南方医科大学深圳口腔医院(坪山)儿童口腔科看牙,孩子们基本上都是很放松的状态,哭声是很少见的。

▲两岁小女孩很舒服地看完牙

▲九岁孩子在拔牙时唱起了《孤勇者》
关于口腔舒适化治疗的真相:
1、笑氧联合镇静技术
经呼吸道吸入适量浓度的笑气氧气混合气体,从而达到镇静抗焦虑,同时保留清醒意识的一种镇静技术。
优点:适合“牙科恐惧症”患者,以及看牙焦虑、敏感人群,可以缓解紧张感,人就会变得轻松很多。
2、全麻下口腔舒适化治疗
由麻醉师辅助来进行治疗,一次性的把所有的牙齿完成。
优点:适合不能配合看牙的人群,以及孤独症、发育迟缓、智力障碍等特殊人群。
误区八:
不要去看牙医,看牙都很贵

关于牙齿健康的标准:
牙齿清洁、无龋洞、无疼痛感、牙龈颜色正常、无出血现象
如果你能做到这五点,恭喜你,已经打败了你身边99%的人。
关于“看牙贵”的真相:
1、牙医告诉你,预防真的很便宜
让牙齿健康,不一定要花很多钱。对于小朋友来说,每3~6个月进行一次检查,可能就是医生帮看一下,涂一下氟,可能花很少的钱,很少的时间,但是能够取得很好的效果。
我们一定要改变观念,特别是牙齿疾病,一定要去做好预防,早预防、早治疗,这是成本最低的方式。
2、看牙贵,往往是拖出来的
不信的话,给你算了一笔账:
小学二年级窝沟封闭:免费
每三个月涂一次氟:一年=几百块
蛀牙及时补牙:一颗=几百块
牙髓炎做根管治疗:一个根管=一千块左右
种牙:一颗=大几千块
所以,牙齿出问题了,越晚看牙,越是和自己的钱包过不去……
文章很长,建议收藏。看完的朋友,我给你比心🫰🫰🫰,你给我点赞收藏转发好不?下次还想看什么,欢迎留言哦~
- THE END -
专业审核:儿童口腔科主任、副主任医师 徐稳安博士
编辑:张 珮 审核:罗国辉

粤公网安备 44031002000317号