喂,不会真的还有人信“牙痛不是病”吧?
牙医,每天都和各种牙痛打交道。在他们眼中,牙痛并不是那么简单,它的病因主要有三个方面:牙齿和牙周本身的疾病、牙齿邻近器官病变、远端器官病变。
所以牙痛不仅是病,可能还不是小病,它可能很复杂,有时甚至和牙齿完全无关。
当出现牙痛时,千万不要觉得,忍一忍就过去了。一定要到医院查明病因,如果真是牙齿的问题,忍一忍、拖一拖,牙齿说不定就“没”了,时间久了,还会对全身健康造成不利影响。
今天,我们邀请到了南方医科大学深圳口腔医院(坪山)牙体牙髓病科主任、副主任医师 刘伟 博士,来给大家盘点一下,牙痛有哪些常见的病因——


龋齿,也叫蛀牙、虫牙,是牙痛最常见的病因。
如果有一天,你发现自己的牙面或间隙出现黑黑的小孔,出现了冷热刺激痛或者食物嵌塞痛,说明可能出现了龋齿。
龋齿是一个从浅到深的发展过程,从白色的牙釉质,然后突破到黄色的牙本质,然后在牙本质内发展越来越深,靠近牙髓,最后导致牙髓感染。
👇👇👇

痛,太痛了
蛀过牙的都懂
😭

🦷 浅龋 去除牙菌斑,简单充填即可,目的是预防龋病发展。也可以做渗透树脂修复,这种方式是非常微创的,不会对牙齿造成破坏。 渗透树脂治疗 🦷 中龋 龋病累及牙本质,可造成轻度的冷热刺激痛。及时进行充填,依然是一颗好用的牙齿。 印章法充填(补牙) 🦷 深龋 深龋的治疗往往面临进行保护牙髓(活髓保存治疗),或者是进行摘除牙髓(根管治疗)的选择。 医生理想的目标是尽量保住牙髓。通常会使用显微镜进行精准操作,当把所有的龋坏组织去干净以后,如果没有出现牙神经的暴露,可以采用树脂充填,也就是补牙。 更好的方法,放一层保护神经的生物陶瓷材料,这种材料比较昂贵,但效果很好,覆盖在牙髓表面,即使出现很深的蛀牙,补了以后也不会出现敏感疼痛。 深龋经过治疗后,若出现自发性牙痛、夜间疼痛加重等症状,表明病情已累及牙髓,应及时联系医生重新制订方案,再次进行治疗。 深龋-树脂充填治疗 继发龋-高嵌体修复




当蛀牙发展越来越深,就会靠近牙齿内部的牙髓,感染我们的牙髓组织,导致牙髓炎的发生。

牙髓炎主要的症状就是牙痛,有的人疼痛非常明显,尤其是晚上睡觉出现剧烈的牙痛。
牙髓炎在专业上可以分为可复性牙髓炎、急性牙髓炎、慢性牙髓炎、残髓炎、逆行性牙髓炎等各种类型。对于可复性牙髓炎,经医生评估后可以尝试进行活髓保存治疗,很多时候会收获非常好的效果。

1 活髓保存治疗 活髓切断术+断冠再接 八岁男孩牙外伤,导致牙冠折断,里面的牙髓露出来了。由于恒牙的牙根并没有发育好,医生还是要尽量尝试保留健康的牙髓,促进牙根继续发育,将断掉的牙冠再粘回去,延长牙齿的使用寿命。 2 根管治疗 当出现牙髓组织不能保留、牙髓出现炎症且炎症不能恢复、牙髓坏死、细菌已从牙根的根管侵入到牙槽骨进而造成根尖周炎等情况时,需要进行根管治疗。 根管治疗目前是国际上公认的治疗牙髓病和根尖周疾病的最有效的方法,成功率一般在85%~90%。由于根管系统和髓腔的解剖结构的复杂性和多样性、微生物变种及毒力改变、医疗器械或医生临床技能的差异等因素,根管治疗仍有一定的失败率。 医生建议,根管治疗后,最好戴上牙冠(或嵌体)来保护牙齿,提高牙齿远期留存率,同时也更加美观。 3 牙髓再生治疗(血运重建术) 对于一些牙根没有发育好的牙齿,我们可以尝试牙髓血运重建术,就是提取血液中的干细胞,进入到牙齿内部增殖、分化,形成类似于牙髓组织的结构。 这样做了治疗以后,牙齿还有牙髓组织,还有血液供应,牙根还能够继续发育。 血运重建术
8岁男孩复杂冠根折

在根管治疗后,牙齿失去牙髓的营养供应,会逐渐变脆、变暗,剩余的牙冠部分承受较大咬合力时,很容易折断劈裂。

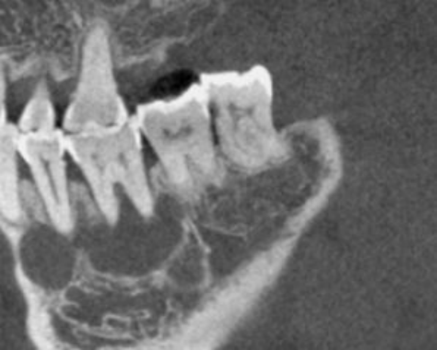
当牙髓炎发展到了根尖周炎这个阶段,牙髓组织完全坏死了,细菌从根尖孔进入到我们周边的组织,然后突破了牙槽骨粘膜,破坏牙槽骨,形成比较明显的一些病变,处理起来就更复杂了。
在这个阶段,因为牙神经已经坏死,患牙不会对冷热刺激敏感,但是咬东西的时候会疼。因为在根尖的部位出现了炎症,有一些脓液积聚在这个根尖部分,然后形成肿胀、疼痛。当它肿胀到一定程度,会在牙龈上形成瘘口排脓。

如果脓液长期压迫颌骨,形成了囊肿,不及时治疗的话,囊肿会越长越大,侵蚀骨头形很大的空腔,最后这个牙也只能拔掉。
根尖周炎也分急性的和慢性的,我们临床上面的处理也会有一些不同。

根尖外科手术案例


根尖外科手术
这颗牙的根尖出现了很大的阴影,表明存在大面积的病变,但是她的牙齿里面根管的通路被堵上了,所以治疗很困难。
医生通过显微根管治疗成功打通根管,又通过手术把根尖区的囊肿摘除掉,慢慢恢复。通过根管治疗和根尖外科手术,既实现了保留牙齿的目的,又清除了病变。

我们的牙齿每天都在承受巨大的压力(咀嚼力),例如,我们的门牙(切牙)切割食物所产生的力量大概是11kg。负责磨碎食物的磨牙,具有31kg左右的力量。

所以,牙齿使用久了之后,表面的这些白色的牙釉质可能会被磨损掉,然后暴露出牙本质,对冷热刺激、化学性的刺激敏感,需要及时修复。

重度磨耗牙的高嵌体修复
对于重度磨耗的牙齿,为了保护剩余的牙,可以采取用陶瓷材料制作的高嵌体进行修复。

重度磨耗牙-高嵌体修复

如果智齿不能正常萌出,可能被牙龈所遮挡而形成盲袋,成为藏匿堆积食物残渣碎屑的地方,然后形成感染,出现反复疼痛。

对于无法正常萌出的智齿,一般建议拔掉。但是如果我们的智齿长得很正,又能正确咬合,也没有其他症状的话,也是可以保留的,这种情况比较少。
智齿冠周炎如果不及时处理,炎症可能侵犯咬肌、眶下、口底等面部间隙,造成间隙感染,出现脸上各个部位的肿胀疼痛,甚至可能引起窒息、猝死等严重后果。


在牙齿的颈部位置出现小的缺损,被称为“楔状缺损”。
一般认为,楔状缺损与刷牙方式不正确有关。很多人都有刷牙太暴力或者横向刷牙的问题,一旦造成楔状缺损,牙齿很容易敏感、甚至疼痛,治疗的话,一般用树脂充填就可以了。
牙医建议,日常使用巴式刷牙法进行刷牙。一定要认真学哦!别给牙齿更多伤害了~
正确刷牙要点:
1、选择软毛的小头牙刷,刷毛与牙面呈45度,刷毛要指向牙龈方向。刷毛同时接触到牙面和牙龈。
2、刷头要做短距离的、来回的颤动,就是水平方向的轻轻颤动,如果是拉锯式用力刷,容易形成楔状缺损。
3、竖向拂刷,每次牙刷会覆盖两到三个牙位,前前后后、里里外外、上上下下每面都要刷到,这样刷牙至少要三分钟。
4、好好的刷牙,配合使用牙线。对于牙缝比较大的人群,可以使用间隙刷+水牙线,做好口腔卫生的维护。

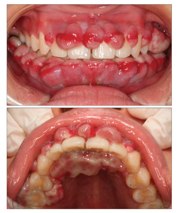
90% 的人都有牙周疾病,但往往被认为“上火”,容易被忽视。而牙结石是牙周疾病的元凶。
一招判断,如果有刷牙出血、吃苹果出血,说明至少是牙龈炎。
刷牙方式不对,口腔卫生维护不当,还有一些药物性因素,都可以引起牙龈肿胀出血、疼痛。
牙龈炎继续发展,就会形成牙周炎,开始造成牙龈退缩,出现了牙槽骨的破坏,甚至引起牙髓牙周联合病变,也可能表现为疼痛。

妊娠期牙龈增生
一些女性在怀孕之后,由于孕激素水平升高、血管扩张的原因,牙龈容易出现红肿,甚至牙龈增生的症状。比如在急性龈乳头炎发作时,牙龈乳头发红、肿胀,也可能痛得厉害。
当牙周炎处于急性状态下,比如急性牙周脓肿,也会有疼痛的表现,这时是比较明显、严重的病变了。

1.牙周序列治疗

2.龈下刮治
对于严重的牙周病,单纯的洗牙还不够,因为洗牙只能洗牙龈以上我们看得见的部分。在牙龈和牙齿之间的牙周袋里面,也有非常多的牙结石,这个部分就需要通过牙周刮治去把它清除掉,控制牙周炎的发展,以防出现牙齿过早脱落的现象。

由于咬合关系不正常,或咬合力量不协调,引起的咀嚼系统的损伤称为咬合创伤。
咬合创伤可引起牙齿疼痛,是口腔的常见疾病之一。这种情况可能由于先天发育因素、牙齿磨耗、咬硬物或者失牙等原因引起。症状可能包括牙齿敏感、咬物酸痛、牙龈疼痛或咀嚼肌疼痛。可在临床检查时发现咬合创伤点而查不到引起牙痛的其他原因。
针对病因,口腔医生可能会建议戴入咬合板、调整咬合、牙髓治疗或修复牙列缺损等来缓解症状。及时处理咬合创伤有助于保护口腔和全身健康。


此外,牙痛也可能是牙齿邻近器官、远端器官病变,甚至是肿瘤方面的一些疾病表现,相对来说比较少见,临床上可能遇到。
比如:上颌窦炎可能引起牙痛,颞下颌关节紊乱、三叉神经痛也可能引起疼痛,不容易与牙痛相区分。一些远端器官的病变,比如心肌梗死、心绞痛,也可能表现为牙痛的症状。

成釉细胞瘤
小小的牙痛,竟然有这么多病因!医生建议,一旦发生急性牙痛,可以先口服止疼药,牙痛不要拖延,及时到专科医院就诊,早看早好!
作为深圳市首家三级公立口腔专科医院,南方医科大学深圳口腔医院(坪山)已开通 24 小时急诊服务,如遇急性牙痛、牙外伤、颌面部外伤骨折等紧急情况,可来院急诊。
希望大家好好保护牙齿,牙齿好,才能健康长寿,而且真的能省钱!
- THE END -
专业审核:牙体牙髓病科主任、副主任医师 刘伟博士
编辑:张 珮 审核:罗国辉
医生介绍

刘伟
医学博士 硕士生导师
牙体牙髓病科主任 副主任医师
南方医科大学深圳口腔医院(坪山)牙体牙髓病科主任,中山大学光华口腔医学院博士,南方医科大学博士后,硕士生导师。中华口腔医学会牙体牙髓专业委员会委员、广东省口腔医学会牙体牙髓病专业委员会委员、广东省口腔医学会老年口腔医学专委会委员、秘书,深圳市口腔医学会牙体牙髓病学专委会委员。2022年赴日本大阪齿科大学研修。主持省市级课题4项,发表国内外论文8篇,获评坪山区“聚龙名医”及深圳市卫生系统菁英人才计划青年医学人才。
出诊信息 :周日至周四上午8:30-12:00,下午14:00-17:30,牙体牙髓病科二楼专家9诊室

粤公网安备 44031002000317号