我,历时一年多的正畸之路结束了。
从医院复诊出来,心情很放松。做完的效果我超级满意,箍牙的过程也是比较快乐的,一切都是值得的。

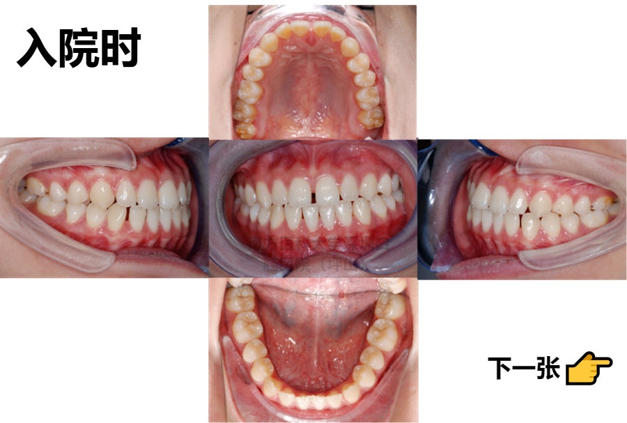
你们看,整牙前,我的牙齿中线不齐,门牙的缝隙比较大,下巴也有点歪。
整完后,不仅脸正了,下巴的曲线也出来了,鼻子也更挺了,五官也变得立体起来,确实变美了很多。
妈妈说,整个人的气质都不一样了。不知道的朋友们,还以为我整容了。
1 我以前不敢露齿笑
以前,我每次照镜子的时候,我都觉得自己牙缝,特别是门牙牙缝太大,觉得不漂亮,没什么自信,也不敢露出牙齿笑。
直到遇到了我的正畸医生——南方医科大学深圳口腔医院(坪山)口腔正畸科的易文静医生,她告诉我:
你的情况是牙齿的“散在间隙”,咬合关系比较差,正常的咬合是“牙尖对牙窝”,你有点牙尖对牙尖,牙齿的中线没对齐,咬合错位造成了功能性的下颌偏斜。
经过骨性测量,医生说我本身也有一点骨性的偏斜,下颌骨的两侧长短不一样,造成了2mm左右的偏颌,也就是脸部不对称。
考虑到我有功能性的因素,又有骨性的因素,医生说最适合我的治疗方式,就是采取正畸-正颌联合美容修复手术。
经过和医生多次沟通,和家人商量,我还是想,先做正畸看看。
2 奇妙的“妙弓”正畸
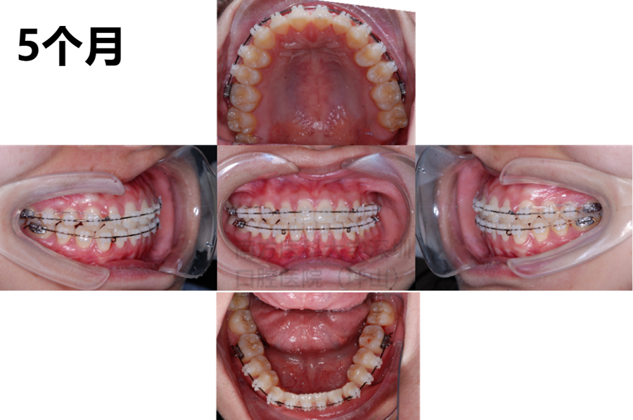
易医生决定,给我采用了一种叫做“妙弓”(MEAW)的技术进行矫正。
她说,妙弓是一种魔术般的矫正技术,经常用在重度开𬌗患者的矫治,我的情况也很合适,可以达到不错的矫治效果。
“需要哪个牙往哪个方向走,可以精准移动你的牙齿,”易医生说,妙弓技术很考验医生弯置的基本功,以及治疗方案的设计是否优秀。




before<<滑动观看矫正过程>>after
易医生说,这种矫正方式有很多优点,它采用的是L形弯曲的方法,弓丝弹性好,作用力柔和,不压迫牙龈,也不用磨牙,可以精准调整我的咬合关系,不需要做手术,就可以纠正功能性的偏颌。
一年多的时间,关闭了我的牙齿间隙,咬合关系也得到了改善。在整个正畸的过程中,易医生非常认真负责,人很温柔,超级耐心。

医生很nice
最后的结果就是,仅仅通过正畸,就达到了我预期的效果,让我超级满意!
我收获的不仅是牙齿整齐,侧脸也变得更加好看了,人也变得更加自信了,更爱笑也爱说话了。
3 总结一下
经过这次正畸经历,我觉得,整牙是真的很神奇,可以让一个人的容貌发生这么大的变化!
so,我也要安利一下这家医院,在牙齿矫正上有很多“绝活”。
如果有牙齿排列不齐、牙齿的拥挤、牙齿的间隙过大,或者是龅牙、地包天的家人们,都可以来咨询一下医生,相信做了矫正之后,对提升颜值很有帮助哦!
有的人是比较严重的骨性偏颌,单纯依靠正畸治疗,很难做到百分百的效果,这家医院还可以做正畸正颌联合治疗手术,效果也是非常惊艳。
(小编:可以看
“会美颜”的口腔治疗)
整牙不是小事,一定要选择专业的医院、正规的正畸医生。我也是做了反复对比,才选了这家深圳市属公立口腔专科医院,结果没有让我失望!

医院的环境也很好,给我很干净、很安全的感觉。
今天的分享就先到这,如果各位对牙齿矫正有什么疑惑,可以留言哦!
学术审核:口腔正畸科 易文静 主治医师
病例指导:口腔正畸科主任、副主任医师 段娇红博士





口腔正畸科医疗团队
南方医科大学深圳口腔医院(坪山)口腔正畸科现有医生5名,其中高级职称2人,中级职称2人,初级职称1人,全部为硕士研究生及以上学历。科室开设各种错颌畸形有关的正畸治疗,包括:错合畸形综合性正畸治疗、儿童颌骨发育异常的早期矫治、牙周病正畸治疗,正颌外科的术前及术后正畸治疗、睡眠呼吸障碍的矫治器治疗、唇腭裂牙颌畸形的正畸治疗、颜面不对称的正畸治疗、阻生牙的矫治、伸长磨牙的压低、磨牙缺失后牙咬合紊乱的正畸治疗、外伤后牙齿的固定及断根牵引等。
医务人员基础知识扎实、基本技术精湛,开展了多项国际先进的矫治技术,自锁托槽矫治技术、舌侧矫治技术、隐形矫治技术等。科室以牙齿正畸-正颌颌面美容修复治疗为特色,可常规开展正颌外科的术前及术后正畸治疗。
采编:张 珮
审核:姜 荣
- THE END -

粤公网安备 44031002000317号