“哇!”的一声,9岁的豆豆摔倒大哭,满口鲜血。
正在附近的豆豆爸闻声赶来。孩子张开嘴,两颗牙齿已经不见。
这两颗牙才刚换没几年啊!豆豆爸心里一揪,正要把孩子送到医院,可是摔掉的牙齿呢?其中一颗门牙就掉在面前,另外一颗却怎么也找不到。
来不及找了,豆豆爸赶紧拿来牛奶,仔细把脱出的牙齿放进牛奶中,迅速送孩子到南方医科大学深圳口腔医院(坪山)儿童口腔科就诊。
一路上,由于又疼又怕,豆豆一直哭闹不止。到了诊室,医生耐心地抚慰,又给她用上了舒适化治疗,缓解牙齿疼痛,孩子的情绪稳定下来,可以配合看牙。
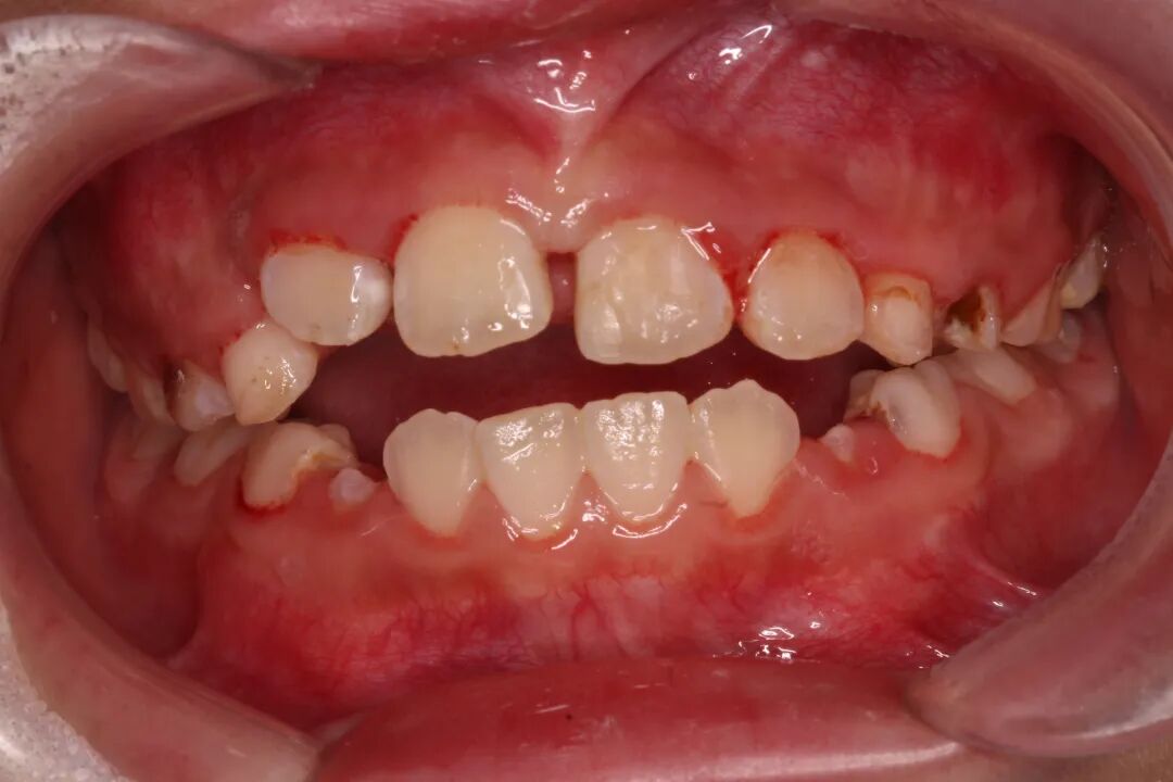
经过口内检查和影像学检查,豆豆掉了一颗门牙,旁边的一颗侧切牙原来没有“失踪”,而是受到大力撞击,牙槽突骨折,那颗侧切牙已经深入牙龈,嵌入到牙槽骨中。
另外一颗门牙也有部分挫入,还伴有牙龈撕裂、嘴唇挫裂伤。

经过急诊医生处理,对脱出的门牙进行再植,对嵌入的侧切牙和上前牙牙槽突骨折进行复位,用纤维带为受伤牙齿做好固定,对牙龈挫裂伤进行清创缝合。
一个月后复查,脱出和挫入的牙齿都固定良好,牙槽骨及牙龈愈合良好,随后拆除松牙固定纤维带。几个月后复查,没有发生牙根吸收,这两颗牙齿算是成功保住了!

牙外伤是口腔急诊中极常见的情形。当牙齿不小心受伤时,尤其是牙齿脱落后,能不能再植成功,很大程度取决于事故现场对外伤牙的即刻处理是否正确。如果掌握正确的处理方法,及时送到专科医院救治,有很大机率可以保住牙齿。
今天邀请南方医科大学深圳口腔医院(坪山)儿童口腔科施俊副主任医师,来给大家详细聊聊常见牙外伤的紧急处理方法。
医院目前已开通牙外伤急诊24小时绿色通道,如遇紧急情况,可径至医院就诊。

常见的牙外伤有哪些类型?
绝大多数牙外伤发生于儿童和青少年。据统计,7~12岁的孩子是牙外伤的第一高发人群,约四分之一的学龄儿童曾遭遇过牙外伤。
在牙外伤事件中,最容易受伤的是前牙,前牙受伤占据了牙外伤的90%以上,其中上前牙受伤占比约60%,对受伤儿童的面容美观、生长发育、心理健康造成严重影响。
牙外伤的发生,往往是由于机械冲击造成牙体硬组织、牙髓或牙周组织不同程度的急性损伤。
对于恒牙外伤来说,最常见的是牙冠折断、牙冠牙根折断、牙脱位以及复合型损伤。如果出现牙齿嵌入、侧方移位、成组牙松动,可能还伴有牙槽突骨折。
乳牙因为有弹性,一般不容易折断,最容易发生的是牙周组织损伤,如牙震荡、亚脱位、全脱出等脱位性损伤。乳牙一旦发生全脱位,一般不用再植。

▼常见的牙外伤类型▲

牙外伤经常会导致多种类型的损伤同时存在。无论是简单冠折,还是复杂冠折(牙髓暴露),如果同时伴有牙齿的脱位性损伤,牙髓坏死和感染的风险会显著增加。

发生牙外伤,应该怎么做?
恒牙撕脱伤是最严重的牙外伤类型之一,其预后很大程度取决于事故现场对外伤牙的即刻处理、以及发生撕脱伤后患者是否及时就医。
在事故现场,患者、儿童监护人、老师或在场的其他人可以采取以下措施:
1、保持冷静,迅速找到脱落的牙齿,手持牙冠的部位,避免用手触碰牙根!

如果牙齿不脏,可以尝试立即将撕脱牙放回牙槽窝内,应咬块干净的纱布、手绢以固定患牙。
2、如果脱落的牙齿有明显的污染,可用牛奶或生理盐水轻轻冲洗,以去除污物,然后再植回原位。
无法放回原位的可以含在舌下。安抚儿童的情绪,不要哭闹,以免牙齿误吞或误吸。如果儿童不能配合,慎重选择此法。
3、如果无法放回原位,应尽快就地寻找储存液,如纯牛奶、患者唾液、生理盐水,将牙齿放入其中。
如果上述液体都没有,至少要将撕脱牙放入水中,虽然水这种介质不好,但总比让撕脱牙暴露在空气中好。
4、尽快将撕脱牙带到口腔专科医院急诊治疗。
我们在临床上遇到的牙外伤案例,大部分断裂牙、撕脱牙都是用纸巾包着带来的,这种储存方式是 错误 的!

医生介绍,减少脱位牙的干燥时间是牙周膜细胞存活的关键,极大影响再植的成功率!
牙齿脱出后,牙面、牙根会很快脱水,一般认为,体外干燥1小时以上,牙周膜细胞几乎全部坏死,再植成功率较低。
医生表示,牙齿脱落后,能够迅速放回口腔原位的,效果最好!儿童年轻恒牙再植,可能发生自发牙髓血运重建,促进牙根的继续发育。
有些脱位牙由于损伤状况过于严重,再植后长期存活的可能性很低,可能无法保留或在后期不得不拔除,但我们也不能放弃,因为恒牙只有一次,我们应尽力尝试挽救脱落的牙齿。

及时就诊很关键!
医院开通牙外伤急诊24小时绿色通道
牙齿能不能保住,除了现场正确处理,及时就医非常重要!
一定要选择专科医院专业医生,才能为牙外伤患者尽可能保留牙齿。如牙外伤处置方式不当,可导致牙髓坏死,预后效果不佳,远期难以保留牙齿。
目前,南方医科大学深圳口腔医院(坪山)已开通牙外伤急诊24小时绿色通道,夜间有急诊医师值班。
医院以“努力为患者保存天然牙”为理念,针对牙外伤常规开展保存活髓治疗方法,如直接盖髓术、活髓切断术等;如果牙髓已经发生感染坏死,根据牙根的发育程度,还可进行根尖诱导成形术、根尖屏障术或牙髓血运重建术(牙髓血管再生治疗),有利于保住牙齿。
医生提醒,当牙齿受到机械外力冲击,也许当时看起来没事,但有可能已经发生釉质损伤、根折、半脱位或牙槽骨的损伤,肉眼不易观察,也不一定发生明显疼痛,需尽早来医院拍片检查。
有的患者发生牙外伤后,没有及时就诊,外伤的牙齿不会自己长好,反而变成慢性病灶,成为陈旧性牙外伤,常常伴发牙根内外的吸收,反复感染形成根尖囊肿,甚至最终不得不拔除。
所以,发生牙外伤时一定要及时就诊。一般要做X片检查,判断牙根是否折断,折断部位,是否移位,牙根处于哪个发育阶段,是否伴有牙槽骨的骨折。
对于复杂的冠根折,一般还要做CBCT,具有高分辨率,以便更好做出诊断。
总结一下: 遇到牙外伤,想尽可能保住牙齿,记住这三件事! 第一,现场正确处置! 第二,尽快到专科医院就诊! 第三,医院有24小时绿色通道! 学术审核:南方医科大学深圳口腔医院(坪山)儿童口腔科副主任医师 施俊 本期专家介绍 施俊 从事口腔医疗科研教学十余年,先后主持省级及院级课题4项,发明国家实用新型专利3项,参编专著2部。现任湖北省口腔预防专委会常务委员,湖北省口腔教育专委会委员,隐适美认证医师,时代天使认证医师。熟练掌握儿童行为管理,笑气或全麻下儿童重症龋综合治疗,儿童早期错颌畸形综合矫治(无托槽隐形矫治、II 类及III类功能矫形治疗,"2x4“局部固定矫治、各类阻生牙牵引、不良习惯肌功能矫治等),各种复杂显微根管技术、牙髓血运重建技术、根尖屏障术、活髓保存术、各类牙外伤的综合序列治疗等。 儿童口腔科医疗团队
儿童口腔科 副主任医师









南方医科大学深圳口腔医院(坪山)儿童口腔科为集医疗、教学、科研、预防为一体的综合科室。现有医护20人,其中医生10人,护士10人。其中高级职称2人,中级6人,初级17人。医师均具有硕士以上学历学位。科室设施完善,配有先进诊疗设备,包括综合治疗台15台、配有口腔无痛局部麻醉仪、根管显微镜、笑气镇静麻醉仪等先进仪器辅助实施舒适化治疗,开展全麻及镇静系统下舒适化口腔治疗。
儿童龋病管理:采用统一的“龋病综合管理”方案,包括初诊术前全面评估、儿童龋风险及行为评估、标准化治疗方案、术后监控与预后评估等。围绕龋病开展预成冠修复技术、间接牙髓治疗、预防性树脂充填技术、恒牙邻面龋的早期发现与诊断、窝沟封闭技术、涂氟防龋技术等技术疗法。
舒适化治疗:(1)笑气镇静:对于看牙紧张的患儿,带上面罩吸入笑气30-40秒即可产生舒适放松的感觉,有效缓解就诊的紧张焦虑,治疗停药休息10-20分钟即可离院。(2)全麻下口腔治疗:对于极度恐惧看牙或特殊患儿,全麻下口腔治疗为常用的行为管理方式。在口腔医师及麻醉师的配合下,通过静吸复合麻醉,使药物作用于中枢神经系统,让患儿在类似于睡眠的状态下,一次性完成口腔治疗。
儿童咬合发育管理:咬合发育异常往往开始于学龄前儿童及替牙期少年,有些为先天发育异常,大多由后天因素导致,如口腔不良习惯及牙齿疾病等,及时发现病因并干预可预防和减轻错合畸形的发展。为此,我科设立咬合发育管理团队,针对此类疾病进行早预防早治疗。
- THE END - 编辑:张 珮 审核:姜 荣

粤公网安备 44031002000317号