智齿不痛不痒,为什么要拔?为什么大部分智齿都要拔,不拔会怎样?什么时候拔智齿最好?为什么都是拔智齿,不同的人费用却可能不一样?
关于这些问题,感兴趣的朋友请来听听南方医科大学深圳口腔医院(坪山)口腔颌面外科主治医师 马犇 博士的科普讲解吧!
点击观看视频👇👇👇
听医生说
Expert Guidance
“为什么大部分的智齿都要拔?”
——我的智齿不痛不痒,为什么也要拔?
——等到你牙痛的时候,那就晚了!
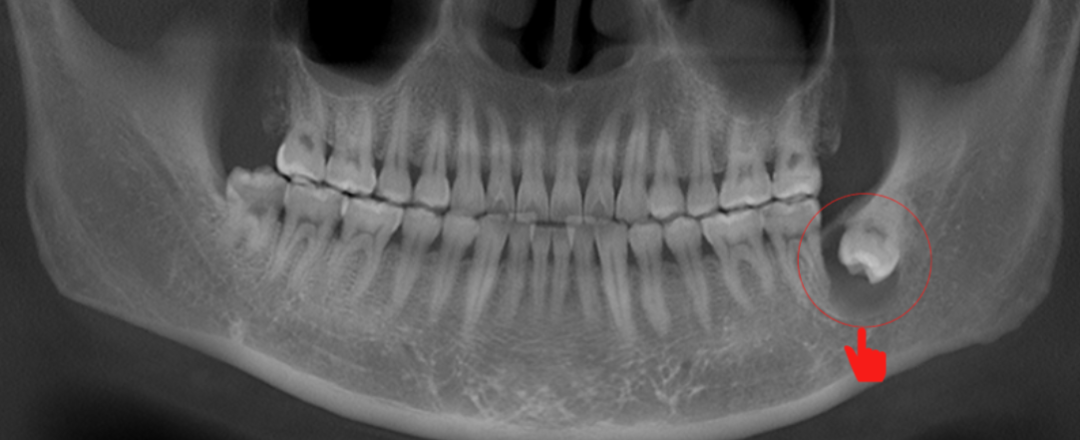
为什么大部分的智齿都要拔呢?智齿是人类的第三颗磨牙,跟阑尾一样没有功能,属于人类进化的遗留。

大部分智齿都是无法正常萌出的,容易发炎、疼痛,造成智齿和邻近的正常牙龋坏,引起牙周疾病、冠周炎等疾病。

顶坏邻牙
牙齿松动

有些长歪了的智齿,还会把邻牙顶坏,导致邻牙牙根吸收、牙齿松动掉落。
如果是完全阻生的牙齿,还可能在骨内形成囊肿,造成下颌骨吸收,形态破坏。


所以,大多数智齿都是需要预防性拔除的,不要等真出问题了才拔!
只有一种智齿不需要拔除,那就是完全正位萌出,没有任何多余软组织覆盖,能形成咬合关系,这种情况很少,需要医生来判断。

智齿应该什么时候来拔呢?越早拔越好,16~20岁之间最好。患者越年轻,术后恢复越快。年龄越大,手术难度越多,并发症越多。
由于拔牙费用是根据拔牙难易程度而定的,难拔智齿的费用也更高。所以,早拔晚拔,都是要拔,最好是在智齿出问题之前来拔。
很多人认为拔牙很简单,其实“拔智齿”也是一个手术,手术范围不大,操作复杂程度很高,需要医生丰富的经验。不过大家也不用担心,现在都是舒适化拔牙,基本上没有痛苦。
本期医生介绍

马犇 博士
南方医科大学深圳口腔医院(坪山)
口腔颌面外科主治医师
中山大学光华口腔医学院博士,发表多篇SCI论文;广东省口腔医学会牙槽外科专业委员会委员,江苏省整形美容协会牙科分会委员;曾赴葡萄牙种植中心交流访问。擅长口腔颌面外科常见病诊治,各类牙槽外科微创手术(复杂牙、阻生牙拔除),各类牙缺失种植手术。
学术审核:南方医科大学深圳口腔医院(坪山)口腔颌面外科主任医师 华泽权
- THE END -
编辑:张 珮 审核:姜 荣

粤公网安备 44031002000317号