
说实话
从小到大 我都有一个梦想
想怎么吃都不胖
想活到老 吃到老
尝遍世间山珍海味

但有一类人
实在是“臣妾做不到”啊
吾生也有涯
想吃却无牙
只能望羊而兴叹

他们就是:
“无牙”老人(无牙颌老年患者)
👇👇👇

77岁深圳老人
上颌牙齿全掉光 只能吃流食
▽
深圳77岁的王阿姨(化名)就是一位“无牙”老人。她的牙一直不好,多年来陆续龋坏脱落,上颌牙全掉光了。
在座各位可能不知道没牙是什么滋味,王阿姨给大家提个醒:别说吃肉了,连米饭都吃不了。
因为只能用牙床艰难进食,她吃什么都得小心,甚至近年来只能吃流食,别提多难受了。
很多人都知道,长时间缺牙危害很大。比如牙齿掉了,邻近的牙也容易掉。
牙掉多了,不仅影响吃饭、说话,面容还特别显老,严重时更会造成咬合紊乱,甚至出现头痛、头晕、耳鸣等颞下颌关节功能紊乱症状,特别影响老人家的健康长寿。
为了治牙,王阿姨已经辗转了多家医院口腔科求诊。可是由于长期缺牙,她上颌已经严重萎缩,牙槽骨重度吸收,骨头条件很差,几乎没有医生愿意给她镶牙,即便想种牙也很困难。
几经辗转之下,她来到南方医科大学深圳口腔医院(坪山)就诊。
口腔修复科张静亚医生做完检查后,告诉王阿姨:
她的上颌牙缺失太久,牙槽骨向内吸收,只剩下一点点,下颌做过固定义齿修复,但颌平面下沉,双侧不对称,而且严重反𬌗(俗称‘地包天’),常规修复难度很大。
但是,也还有办法救!
在经验丰富的口腔修复科主任马红梅的会诊指导下,张静亚医生为王阿姨量身定制了一个解决方案——全口吸附性义齿。
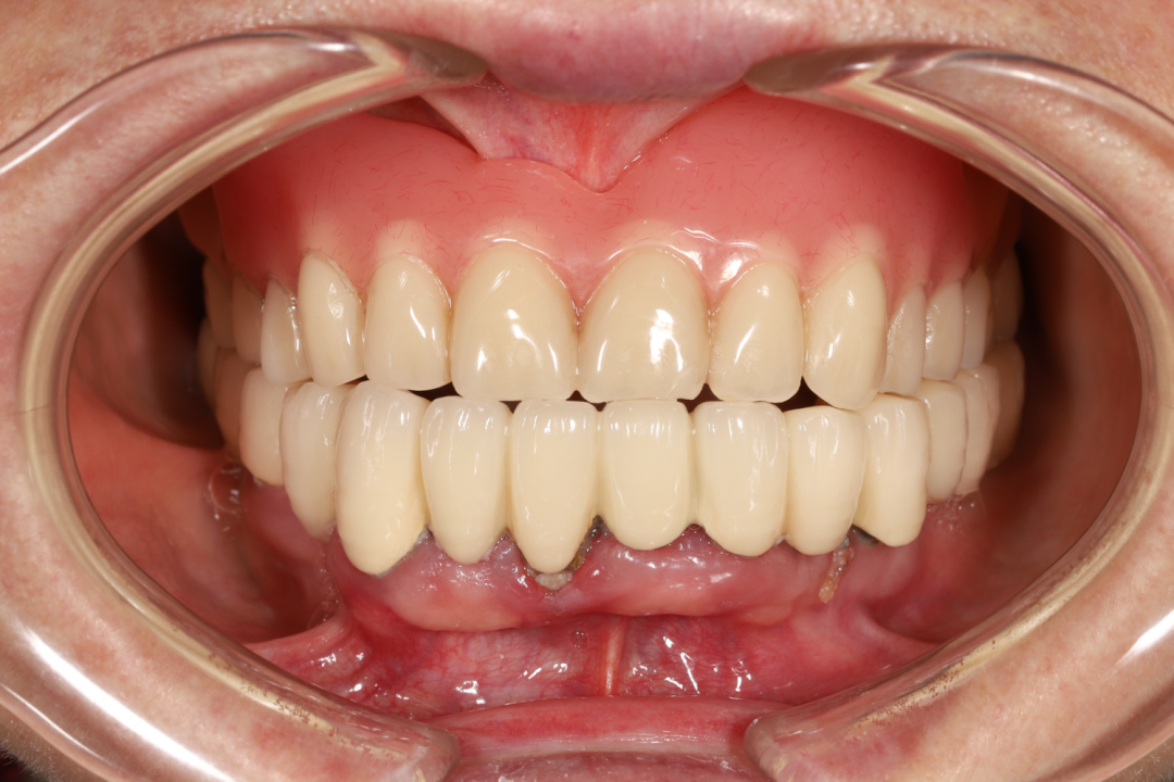
1 ⬆️修复前 上颌无牙 牙槽骨严重退化 2 修复后 ⬇️ 恢复口腔功能 能够正常进食 

戴上义齿后,王阿姨当场开心吃起饼干
目前,王阿姨已经戴用义齿一段时间,实现了正常饮食,也吃得动一些较硬的水果。近日来复查,她开心地说,“二十多年了,牙齿从来没像现在这么好用过!”
目前,在口腔修复科主任马红梅博士的带领下,医院已完成了数十例全口吸附性义齿病例,帮助很多“无牙老人”解决了吃饭问题。
就在前几天,还有患者专门找到马主任表达感谢之情。

咱就是说,戴上假牙后,姥姥气色也太好了吧!简直年轻了不止20岁!
不过,有人要说了,这不就是全口义齿吗?很普通很常见啊,这不是每个修复科牙医都会做的?
NO NO NO!当然不是!
虽然都叫“义齿”,很多人戴的假牙却是这样的:
一说话,假牙就掉,用力咬,牙齿就跑,每次张嘴大笑,就得满地找牙。


理论上,全口义齿都应该是“吸附性义齿”,但不同的医生做出来的效果差别很大。
实际上,市面上大部分的全口义齿,并没有达到真正“吸附性义齿”的标准。
活动假牙的“天花板”
吸附性义齿难在哪?
▽
尽管义齿是传统的修复方式,但传统并不代表落后,更意味着成熟。随着医学、材料学的发展,义齿制作技术也在不断创新,与时俱进。
尤其是全口吸附性义齿技术,又被称为活动牙制作的“天花板”,也是全口牙缺失修复最具性价比的选择之一。
马红梅主任介绍,吸附性义齿的制作分为取模、颌关系获取、人工牙排列、调𬌗等四个环节,每个环节对医生的经验要求都非常高,也很考验技师的技术水平。
从第一步“取模”开始,就是一件非常精细的活。取模一旦不准确,“吸附性义齿”的制作从一开始就失败了。
取模之后,就到了“颌关系获取”。颌关系,就是上下颌骨的关系,但很多老年人由于长期缺牙、关节损伤,难以取得准确的颌关系。
取得了颌关系以后,牙齿的位置依然是影响全口义齿最终效果的重要因素。接下来的两步——人工牙排列、调𬌗,就是精确调获得义齿良好咬合关系的关键步骤。
这四个步骤,一环扣一环,相互影响,就是为了在不同的动作状态下,让义齿依然能满足口腔功能。
只有相当经验的医生,才能把每一步都做得很好,做出来的义齿才能真正好用。
不仅吻合度超高,对口腔的软硬组织也不会造成磨损,能有效保护牙周组织,还能延缓牙槽骨吸收、牙龈萎缩的发生。
制作精良的全口义齿是可摘卸的全口吸附性假牙,它在某种程度上可媲美种植牙的稳固性,可以牢牢吸附在口腔黏膜上,即使说话、进食也不会移动、脱落,能够很好满足无牙颌患者咀嚼、发音和美观等功能要求。在口腔条件变化不大的情况下,保养得当可佩戴10年以上。 ——南方医科大学深圳口腔医院(坪山)口腔修复科主任 马红梅
不过,传统的吸附性义齿也有缺点,比如制作周期长达一个月左右,也就是说,老人家会有较长的“无牙期”,这段时间生活很不方便。
好消息是,这个问题现在也解决了!
在南方医科大学深圳口腔医院(坪山),目前最快可以实现当天取模、当天制作、当天佩戴,从而避免老人家“无牙期”过长的尴尬。
全口吸附性义齿
“稳”如种植牙
▽
马红梅主任介绍,对于牙齿全口脱落的无牙颌患者,通常有三种镶牙方式:一是全口种植固定修复;二是种植覆盖义齿修复;三是全口义齿。
01 全口种植固定修复:感受接近真牙,需种植手术,价格高。 02 全口种植覆盖义齿修复:价格介于全口种植与全口义齿之间。 03 全口义齿:属于传统修复方式,价格亲民,无需手术。


顾名思义,全口种植固定修复就是种上若干颗种植牙,使用感受接近真牙,但费用也确实不菲。
全口种植覆盖义齿修复,是采用种植和黏膜联合支持、固位的方式,可以自行摘戴的义齿,同样需要手术植入植体,价格也比较高。
相对来说,全口吸附性义齿技术是一种传统、经济、适合的方式,不仅价格亲民,而且无需手术,能够无创解决患者多年的困扰。
适合的,就是最好的!

- THE END -

粤公网安备 44031002000317号