暑期是每年的矫牙高峰期。不少家长带着孩子来矫牙,看了很多攻略,还是“蒙查查”搞不清:
娃的哪些牙齿问题需要做正畸?不做会有什么影响?以前都说牙换完了才能矫牙,到底应该几岁做才是适合的?医生、方案、价格,应该怎么选择?
矫牙不是小事,关乎孩子一生。今天特地帮家长们问了专业正畸医生——
南方医科大学深圳口腔医院(坪山)口腔正畸科主任段娇红 博士和主治医师 何志伟 博士,教大家在牙齿矫正方面不踩坑,拯救娃的颜值!
  
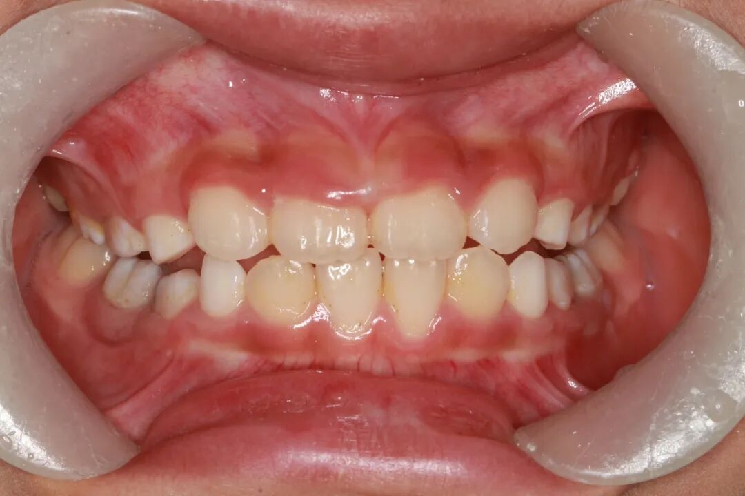
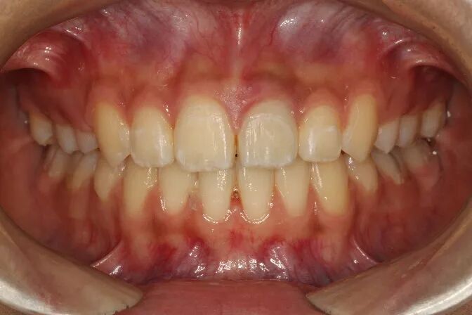
我们的牙齿咬合并不是都很正常或理想的。
很多人不知道,从乳牙长出到换牙完成,约50~70%的儿童和青少年会出现颅骨、颌骨、牙齿排列及咬合异常的问题,统称为“错𬌗畸形”。
如果家长发现下面这些异常“苗头”,就要引起警惕了。
     

其中,一些属于暂时性的牙齿错位可以自行恢复,另一些随着时间推移可能加重,甚至从轻微的“牙性”问题,变成严重的“骨性”畸形。
对孩子来说,不仅是“美不美”的问题,还影响牙齿功能和颌面部的生长发育,甚至影响全身和心理的健康:
- 发音不清、口齿漏风 
- 牙齿龋坏、牙周炎症 
- 咀嚼低效、胃肠疾病 
- 颌面部生长发育异常 
- 面型不佳、美观度低 
- 引起敏感自卑等心理问题 
所以,在儿童生长发育的早期阶段,需要针对错𬌗的病因、机制和发展过程,进行阻断和矫正,引导孩子的颌骨往正常方向生长。
这就是——
儿童错𬌗畸形早期矫治
简单地说,就是利用儿童生长发育的自然潜力,通过相对简单的矫正方法,引导颌骨生长发育,骨改建速度快、时间短、费用低,能取得事半功倍的效果。
早期矫治有助于儿童:
- 上下颌骨的发育更加协调 
- 避免牙齿前突造成牙外伤 
- 更好地引导恒牙萌出或替换 
- 达到功能与美观的协调平衡 
- 有利于儿童健康人格形成 
如果孩子错过了颌骨生长发育的关键时期,到了成年以后,单纯正畸只能移动牙齿,难以对颌骨施加影响,治疗难度和费用将大大增加。
医生提醒
需强调的是,不是所有错𬌗畸形都需要进行正畸治疗,但一定要尽快找专业正畸医生进行评估。医生建议,儿童错𬌗畸形的检查不应迟于 7 岁。
  
矫牙是不是越早做越好呢?不一定。
早期矫治不是在年龄的早期,而是在错𬌗发生的早期进行矫治。
不同类型的错𬌗畸形,做矫牙的最佳年龄是不同的。需要根据儿童颅颌面生长发育的不同阶段特点,由专业正畸医生来评估决定。
  一、乳牙列期   3~5岁
这个阶段的家长,除了帮孩子正确刷牙、预防龋齿以外,更重要的是,及时发现和纠正口腔不良习惯,密切关注孩子的颅颌面生长发育情况,以防出现错𬌗畸形。
  常见的口腔不良习惯   咬嘴唇   容易形成深覆𬌗、深覆盖、上颌前突、下颌后缩、下唇增厚等问题。   吮吸手指   长期吮大拇指,可以使牙弓颌骨受力,让本来整齐的前牙合不拢(开𬌗)或前突(龅牙)、后牙反𬌗等。随着吮指习惯消失,大部分开𬌗可以自行纠正。   口呼吸   睡觉时存在长期口呼吸,可能导致腺样体面容、下巴后缩等,短短几年娃的颜值暴跌。      偏侧咀嚼   常常是一侧后牙有龋坏,无法正常咀嚼,只能用另一侧好牙咀嚼,可能造成两侧颌骨发育不平衡,出现大小脸(偏颌)。   长期吐舌头   长期吐舌头,常常导致下颌过度发育,可能造成牙齿合不拢(开𬌗)、地包天(反𬌗)等,还可能继发其他疾病。
很多家长对乳牙问题关注不够,认为乳牙早晚要换,有问题也是暂时的,一旦换牙后就好了。
其实这个观念是不对的。
很多严重错𬌗畸形的“果”,在乳牙阶段已种下了“因”。
解决好乳牙的问题,就是为恒牙的正常替换和娃的正常发育铺路。
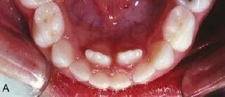
  医生提醒   在乳牙列时期,一些口舌不良习惯可使牙弓形态和牙齿排列出现异常。尤其是,当家长发现乳牙反𬌗(地包天)、开𬌗等问题,在孩子能配合的情况下,越早矫治越好,可以使颌骨和面型向着正常的方向发展。      乳牙反𬌗需尽早开始治疗   3~6个月可以完成矫治   二、混合牙列期   6~12岁左右   这个阶段,未脱落的乳牙与新萌出的恒牙同时存在,是颌骨和牙弓的主要生长发育期,也是治疗和预防错𬌗畸形的重要时期。   如果有下面这些问题,要带孩子来看医生:
- 乳牙滞留 
可能出现双排牙、牙齿无法正常萌出等,需要就医处理,及时拔除,必要时需正畸治疗。
  
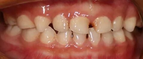
- 牙列拥挤、牙齿错位 
混合牙列期多见,需评估是暂时性拥挤还是永久性拥挤,再决定是否需治疗。
- 牙缝过大(牙列稀疏) 
8~9岁的孩子,在侧切牙萌出后,门牙的牙缝仍然较大,如果间隙大于2mm,很难自行关闭,需进行矫正,以避免其他恒牙移位。
- 地包天(反𬌗) 
混合牙列时期出现反𬌗,最佳治疗年龄为7~9岁。有利于使下颌功能恢复正常,促进后继恒牙的正常萌出。对于极为严重的骨性反𬌗患者应观察,待生长发育停止后再做治疗。
- 乳牙早失,恒牙先天缺失或过早脱落 
可能造成错𬌗畸形,甚至颌骨发育异常,需要就医处理。
- 多生牙 
常出现在上颌中切牙之间,造成牙齿拥挤、扭转,需要尽快拔除,必要时进行矫治,能降低外伤牙折的风险。
- 深覆𬌗、深覆盖(龅牙) 
判断是牙性还是骨性的十分重要,医生需根据其病因和表现进行矫治。
- 颌骨发育不足 
如果存在面中部凹陷、下颌后缩、颜面短小等先天不足,需要靠后天牵引,促进颌骨发育,改善面型和功能。
  
  
三、恒牙列早期
13~15岁左右
12~13岁以后,孩子的乳牙完全被恒牙替换,颅颌面生长发育也来到了关键时期。
如果在之前的阶段,错𬌗畸形没有得到纠正,可能进一步发展加重。
很多家长也是在这个阶段,注意到孩子存在错𬌗畸形的问题,才带孩子来看牙。
由于个体差异较大,医生需要评估牙龄、骨龄,准确鉴别骨性和牙性的错𬌗畸形,选择最适合的矫治技术。
医生提醒
在16岁以后,大部分人的颅颌面生长发育已经停止,大部分的错𬌗畸形在这之前进行矫治效果最佳。另外,一些伴有复杂、严重骨性问题的错𬌗畸形,应推迟到生长完成时才能开始治疗,一般需要正畸-正颌联合治疗。
  
  
并不是所有的牙医,都可以进行正畸治疗。
由于错𬌗畸形的病因、发病机制和表现特征极其复杂,为了治疗各种类型的患者,口腔正畸学科发展出了成百上千种矫治方法和技术,成为一门集𬌗学、美学、材料学、力学于一身的学科。
专业的正畸专科医生,技术手段犹如“百宝箱”,总有一款适合你。
不专业的正畸治疗,却分分钟让你“入坑”。
第一坑:价格的坑
不要轻易掉入“价格陷阱”,就算是“货比三家”,比的也是技术,价格并不是选择的第一因素。
建议大家选择高水平的正规医院、专业的正畸专科医生。顺便提一句,目前全国仅有不到4000位正畸专科医生。
  
儿童出现牙齿咬合及发育问题,通过早期矫治干预,大部分可以及时纠正。
如果已经发展为严重骨性的错𬌗畸形,光靠牙齿移动解决不了问题,还有一招用来保底的“正畸正颌联合治疗技术”。
作为深圳市属公立三级口腔专科医院,这项由正畸科和口腔颌面外科共同开展的MDT治疗手段,正是南方医科大学深圳口腔医院(坪山)的“撒手锏”之一。
医院三大临床特色方向
- 牙齿正畸正颌颌面美容修复治疗 
- 儿童舒适化无痛治疗 
- 数字化微创牙体保存诊疗 
在小红书上,有很多患者自发分享他们的案例。
有人千里迢迢,从辽宁追到深圳坪山,就为了这个拯救颜值的终极大招。
  
  
  
  
  
图源:小红书用户
  
第二坑:沟通的坑
一个好的正畸医生,在看你第一眼、说第一句话的时候,就自动开始“测量分析”:
然后根据口内检查、CBCT和取模结果等,评估颌面部和牙齿的情况,估计矫牙的难度和风险,完成初步面诊。
正畸前,医生会和你沟通:
错𬌗畸形是牙性还是骨性的,单纯正畸还是正颌正畸联合治疗
可采取的矫治方案(技术方法、矫治器、价格、疗程和复诊要求)
矫治的风险,目标和可能达成的治疗结果
哪些因素可能影响矫治结果
矫治开始前的准备,需注意的事项
最重要的是,医患双方要达成一定的共识,完成包括审美、方案选择、维持口腔卫生、按时复诊等在内的沟通。
比如,该选择哪种类型的矫治器、要不要拔牙等问题,必须让医生根据患者的个体情况来选择,而不是患者自己很有目的性,就想做或不想做哪种治疗,而实际情况却根本不适合。
对于患者来说,对于正畸的可能治疗结果,只是一个基于医患双方共识的可接受范围。由于专业判断力的差距,患者必须依赖正畸医生的经验,不能有不切实际的期望。
一个优秀的正畸医生,需要对颌骨生长发育以及咬合关系等许多方面有很深的理解。因为正畸并不是光关注把牙齿排齐就好了,还需要进行综合考量,尽力满足美学和功能上的平衡,这些都是因人而异的,没有标准答案。
第三坑:治疗的坑
对儿童的早期矫治,大多数在一年以内就可以完成,但对于成年人来说,正畸是一个持续2~3年甚至更久的过程,而且往往需要跨学科合作治疗。
在矫治过程中,患者如果不按医嘱复诊、配合治疗,会延长矫治时间,甚至导致正畸失败。
当然,医生也会继续和患者沟通,鼓励患者积极坚持下去,直到成功,并在正畸完成后继续戴保持器,防止复发。
医生提醒
正畸并不是百试百灵的神药,也不是所有人都适合做正畸。失败的正畸,原因可能五花八门;成功的正畸,一定是医患双方充分沟通合作的结果。
对于很多家长来说
吃过牙齿不好的亏
才知道早点带娃看牙
小时候能解决的痛
不用长大了再来还
  
拓展阅读
- THE END -
供稿:何志伟博士(口腔正畸科主治医师)
采编:张 珮
审核:罗国辉
 
                         
                        
 
                         
                     
		 粤公网安备 44031002000317号
粤公网安备 44031002000317号