在牙齿美白的路上
很多人都踩过坑
上得当多了
有的人认为牙齿美白
根本就没用——

还有人认为:
牙齿美白不可避免
给牙齿健康带来伤害
即使白了也是得不偿失
其实并非如此
今天就给大家看看
牙齿美白怎么做才是对的
👇👇👇
Step 1 洗牙
不管想做哪种牙齿美白方式,第一步,都是洗牙。
洗牙可以有效去除牙菌斑、牙结石,让牙齿原本的颜色“重见天日”,让口腔更加健康。
特别是被茶垢、烟渍“包浆”的牙齿,洗牙的“美白”效果立竿见影。
医生建议,在洁牙后一周复诊,衡量是否需要进一步进行牙齿美白治疗。
如果有牙周病、龋齿、楔状缺损等问题,必须先治疗、再美白。
看看洗牙一周前后
牙齿是不是白了👀


////
Step2 确定病因
牙齿变色的原因很多,一定要确定原因后,对症处理,才能获得预期的美白效果。
1 外源性着色
你知道吗,每天一杯茶/咖啡/碳酸饮料/红酒,可以“续命”,但也可能送你“一口黄牙”。
如果牙齿清洁工作做得不到位,色素分子从牙齿表层开始附着,造成牙齿变色。
外源性因素主要有:细菌性着色、金属、烟草、食物和饮料,牙龈出血、修复性材料、药物等。
2 增龄性牙齿变色
随着年龄增大,牙齿也会变“老”。
一方面,牙体硬组织的光通透性会发生改变,牙齿变暗;另一方面,牙齿表面釉质逐渐磨损,也使得牙齿变黄。
3 四环素牙、氟斑牙等
牙齿发育过程因服用药物、过量摄入氟元素或遗传发育性疾病,导致牙齿不正常生长造成的牙齿变色。


4 无髓变色牙
因各种原因导致的牙髓病变引起的牙冠变色。

Step3 美白产品如何选择?
在市面上,存在大量令人眼花缭乱的牙齿美白产品,应该怎么选择?到底是不是智商税?
先来了解牙齿美白的原理,主要分为化学和物理两大类:
第一类 :化学漂白型
药物漂白、冷光美白、激光美白
采用过氧化氢、过氧化脲等药物,对牙齿进行漂白。
原理:氧化还原反应,漂白剂进入牙本质内,与色素集团反应,将其分解成小分子,让牙齿颜色变浅。
医用过氧化氢制剂,可以提高口腔内牙龈含氧量,抑制厌氧菌,改善牙周炎。不同浓度的过氧化氢制剂,取得的美白效果也不尽相同。

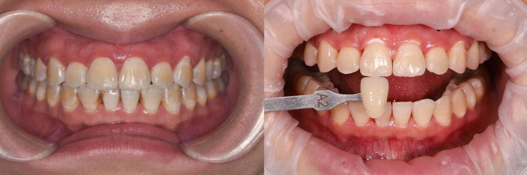
氟斑牙经渗透树脂+漂白治疗前后对比图
(牙齿颜色从A3上升至A2)
同时,还会加入硝酸钾、氟化钠等其他成分,以促进牙本质修复、矿化,减少牙齿敏感。
冷光美白、激光美白的原理,和药物漂白是一样的,都是通过氧化反应分解色素分子,只是促进反应的方式不同。

诊室美白 VS 家庭美白
大家常说的诊室美白和家庭美白,又是什么呢?
简单地说,诊室美白使用的美白剂浓度高(过氧化物浓度>15%),见效迅速,但可能造成灼伤,必须做好牙龈的保护措施,并做好术前中后的脱敏操作,因此需在诊室中进行,由有执业资格的医生来操作。切不可自行使用。

医生采用屏障树脂保护牙龈
(诊室美白)
家庭牙齿美白产品,又称托盘漂白,把美白剂放入个性化托盘(专业定制)中,戴入口内(过氧化物浓度<15%),可由医生指导下,患者在家中自行操作,在一定周期内,每天佩戴若干个小时,让你“睡一觉牙齿就变白”。

托盘漂白示意图
根据不同的情况,诊室美白和家庭美白可以配合使用,以达到更好的效果。
有的朋友对牙齿美白有误解,比如有的人做了一次诊室美白,觉得没达到理想状态下的效果,就觉得上当了。
其实,诊室美白效果与很多因素有关,比如牙齿本身的结构(釉质厚薄、牙齿大小)、使用的产品等。有的还需要持续多次进行美白,才能达到预期。
有的人觉得,家庭美白产品,在家里自己用就可以了。要强调的是,必须在专业医师指导下使用家庭美白,否则容易造成牙齿损伤。
在美白过程中,存在轻微酸痛及敏感属于正常现象,如出现剧烈疼痛,应停止美白操作,尽快到专业口腔医疗机构就诊。
第二类:物理遮挡型
贴面、全冠、桩冠等
通过遮挡的方式,把已经变色的牙齿“盖”起来,这样也可以让牙齿变白。
牙齿变色的修复,一般要遵循“从无创到微创、再到有创治疗”原则,需要正规医院专业医生检查后确定。
1 贴面:树脂贴面、全瓷贴面
适用于轻度的牙体变色,以及小面积的牙体缺损、过小牙、牙间隙等情况。

全瓷贴面
有的人觉得,贴面看起来跟美甲差不多嘛,随便找家店就做了。
其实错了,不专业的贴面对牙齿损伤极大,可能造成悬突,引起牙龈退缩、牙周病、龋齿、咬合紊乱等严重问题。

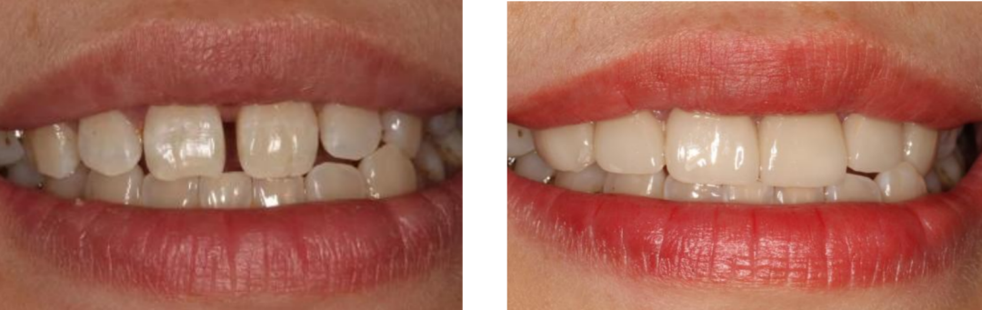
贴面修复前后对比图
2 全冠或桩冠修复
适用于缺损大、重度颜色异常、严重扭转的牙齿,比如氟牙症、四环素着色牙、锥形牙、过小牙、釉质发育不全等牙齿修复。

全冠修复前后对比图
烤瓷牙有金属成分,磨除剩余牙体比较多,现在已经少有医生采用了。
随着技术进步,如今大部分都是全瓷冠修复,通过先进的数字化设计、加工、上色而成,可以做到“以假乱真”,达到美观、永久的效果。
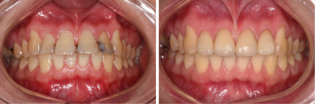
在临床上,对于无髓变色牙,比如根管治疗或外伤变色牙,通常进行髓腔内漂白或冠修复。

髓腔内漂白治疗前后对比图
市场上美白产品品种繁多,具体要选择哪种美白方式,需要医生评估牙齿状况和适应症,综合决定运用相应产品。
医生提醒,牙齿美白是非常专业的,强烈建议患者不要DIY!
因为如果不具备相应知识,即使是正规的产品,也可能因为使用方法不对,导致美白效果不及预期,甚至牙齿出现严重问题。
注:美白牙膏、牙粉、牙贴等非专业牙齿美白产品,不在本文讨论范围内。

讨论 :哪种美白才是好的?
在荧幕或舞台上,大家经常看到明星的牙齿,白到令人羡慕,被称为“好莱坞白”。
这也是很多人想美白牙齿的动力。

对于医生来说,大家想要牙齿美白变漂亮,没什么不好,只是注意要适度。
天然的牙齿就是淡黄色的,如果做得太白了,看起来不自然,和其他牙齿的颜色、唇色、肤色不匹配,可能看上去就“一眼假”。
还有的人单纯追求白、整齐,而忽略了牙齿的形态和功能,反而会造成更大的伤害。
大道至简,返璞归真。真正高端的牙齿美白,往往呈现得朴实无华,只是让人觉得你的牙齿很健康、自然好看,你不说,别人根本看不出做了牙。
在治疗前后,医生会进行比色及评估,以可视化的方式与患者沟通,让医患双方对牙齿美白有统一的认知和预期。
还有人问,全口牙齿颜色变白会反弹吗?如何维持更久?
牙齿美白的效果能持续多久,一般和美白方式有关。
比如“物理遮挡”型,基本上是“一劳永逸”,只要维护得好,效果几乎是永久的;
如果是“化学漂白”型,的确可能发生反弹,但和很多综合因素有关。
我们可以通过正确维护牙齿,比如少吃深色食物、饮料,定期常规口腔检查或洗牙,定期进行牙齿美白治疗,在美白后进行封闭树脂保护等方法,让牙齿美白更持久。
- THE END -

粤公网安备 44031002000317号