我,一杆“老烟枪”。
33岁,烟龄15年,每天一包烟。
我也知道不好,肺嘛,黑了,牙也黄了。我挺在意形象的,每天早晚认真刷牙,一年洗一次牙,
但要不是一次照镜子,我还真没注意——
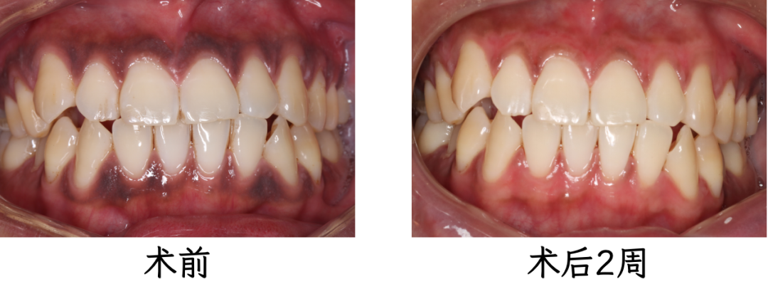
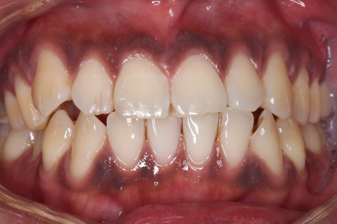
原来抽烟时间久了,就连牙龈也会被熏黑,就像这样:

很多不规则的深棕褐色斑块,已经连成一片,越看越像昨天吃的烟熏腊肉,太难看了!
来到南方医科大学深圳口腔医院(坪山)牙周黏膜病科,我找到黄绮凌副主任医师求诊。
黄主任人很温柔,说话轻声细语:
“你是重度牙龈色素沉着,是由长期抽烟引起的外源性着色,烟雾中的尼古丁、苯并芘等渗入口腔黏膜,刺激产生了黑色素,附着在黏膜表层。
但你也不用太担心,色素沉着还不是真正的病理性症状,主要是影响美观。”
“有办法吗?”想到自己一口黄牙、牙龈发黑,原来不知不觉“社死”多年。
牙龈色素沉着的病因
1.生理性色素沉着:常见的生理现象,主要由口腔上皮基底层中的黑色素细胞产生的黑色素引起,多为遗传、妊娠、药物诱导。
2.病理性色素沉着:常见于血管瘤、卡波特肉瘤、黑色素瘤或艾迪生氏病、Peutz-Jeghers 综合征(色素沉着息肉综合征)、神经纤维病变等系统性疾病。
3.外源性色素沉着:由各种外源性着色材料引起的牙龈变色,如重金属、纹身、吸烟及药物的使用等。
“你相信光吗?”
黄医生一句话,把我问懵了。她又解释:
“传统上采用手术切除、牙龈磨除等方式来治疗,要出血、比较痛、愈合慢,复发率相对高,
现在消除牙龈着色,效果最好的是做“光疗”——用激光进行理疗,以无创的方式,消融沉着的黑色素,让牙龈变回之前的样子。”
我之前对激光治疗有些认识,但没想到,口腔也可以用激光。
听完医生介绍,我当场决定,给牙龈做一个“激光SPA”。

在医生的轻柔操作下,伴随着轻微的灼热感,牙龈上暗沉的色素被完全消融,接下来的一两天内脱痂并愈合,很快再生了健康、粉红且质地坚固的牙龈组织。

“以后还会复发吗?”我问。
“半导体激光治疗后,牙龈着色的复发率仅为0.19%。但在吸烟者中,复发率可能达40%以上,”
医生意味深长地看我一眼,“如果你还抽烟的话,是有可能的。”
“口腔治疗,
激光能做什么?”
光子能嫩肤,激光能美白吗?牙齿用激光SPA一下,真的有用吗?很多人有疑惑。
激光,20世纪最伟大的发明之一,能在硅片表面刻印纳米级电路,精确切割近视患者的角膜,当然也可以在口腔诊疗中大显身手。
目前在南方医科大学深圳口腔医院(坪山),已搭建完善华南地区最先进的激光治疗体系:
Nd:YAG 钕激光治疗仪
Er, Cr:YSGG 水激光治疗仪
Er:YAG 铒激光治疗仪
半导体激光治疗仪
光动力治疗仪
……

医院引进国际先进的激光治疗设备
它们堪称“全能”,以轻微疼痛感或无痛、低噪音、出血少、微创等优势,在口腔临床诊疗中得到广泛应用。
细数一下,激光能做的事情实在是太多了,简直不要太强——
01 牙髓治疗

根管治疗中使用半导体激光进行根管消毒

活髓切断术中,用激光处理牙髓断面

水激光治疗牙本质敏感

激光封闭牙本质小管,降低牙齿敏感
在根管治疗中,进行常规的化学冲洗后,还可以联合应用光动力抗菌疗法(aPDT),通过活化的光敏剂和分子氧反应产生高活性氧基团,特异性灭活根管系统内的病原微生物群,预防根尖周感染病变。
在活髓保存治疗中,用半导体激光照射牙髓切断表面,可以起到抑菌、杀菌、止血的效果,促进修复性牙本质和硬组织屏障形成,促进牙髓再生及组织修复。
激光还可以治疗牙齿敏感,热凝封闭牙本质小管,降低牙齿敏感度。
02 牙周病治疗

使用半导体激光辅助龈下刮治


使用铒激光进行牙冠延长术,改善“露龈笑”
激光的辅助加持,让牙周治疗进入了新纪元。
使用激光进行切除性的牙周软组织手术,如牙龈切除术、冠延长术、系带切除等,相对于传统外科手术,创伤更小、出血更少,不会出现术后敏感、疼痛,舒适感强、恢复快。
龈下刮治时,半导体激光可以去除牙周袋内的牙石,甚至进入一些常规难以清洁的特定部位,进行深度杀菌,并可有效去除根面细小结石,改善根面刮治的效果。
对于种植体周围炎的治疗,采取光动力治疗更加方便有效,对牙槽骨和种植体造成的损伤也会大大降低。
在牙周脓肿的治疗中,辅助使用激光可以有效杀菌、抑菌,加快软组织愈合。
03 口腔黏膜病治疗

半导体激光治疗唇炎

钕激光治疗口腔扁平苔藓前后对比图

钕激光治疗舌侧溃疡

钕激光治疗舌侧白斑
在口腔溃疡、疱疹、唇炎、白斑、扁平苔癣等口腔软组织病损或潜在恶性疾病的治疗中,激光具有显著优势,可以充分消毒杀菌,使其凝结形成硬壳,促进黏膜上皮再生,加速愈合。
04 牙齿美白
牙齿冷光美白示意图
(点击上图可查看牙齿美白方法)
冷光美白牙齿,可使用特定波长的高强度蓝光催化漂白药物,使其快速分解出自由基活性氧原子,与变色牙中的色素发生氧化还原反应,且热量不会深度穿透,不损伤牙本质和牙髓组织。
05 颞下颌关节功能紊乱

使用半导体激光进行颞下颌关节理疗
在颞下颌关节功能紊乱的临床治疗中,可以采取低能量激光照射进行生物调节、促进抗炎反应,有效缓解有症状部位的疼痛,疗效高、禁忌证少,临床操作简单,有着快速、无创、无菌、舒适等优点,不会对患者造成伤害。
- THE END -
专业审核:牙周黏膜病科主任、副主任医师 江山,副主任医师黄绮凌
内容提供:牙周黏膜病科主治医师刘长欢、郝春秀、张佳明、谢瑞琪;儿童口腔科医师 王梓婷;


粤公网安备 44031002000317号