早就听说
牙齿矫正,也就是正畸
都是给十几岁的青少年做的
这不,网上都说:
“成年人矫牙很麻烦,
矫正速度慢!牙齿会变松!
老了以后,牙掉得快!”

真的吗?
难道年纪大了
还有严重的牙周病
就没机会矫正牙齿了吗?
来听听他的经历——
👇👇👇
30岁 年富力强的我
遭遇了来自牙齿的“背叛”!
两年前,深圳小伙谢先生(化名)觉得自己的牙齿不对劲了。
平时,他的牙龈经常红肿,容易出血,一开始以为是“上火”。有一天,啃完苹果后,牙龈出现“大出血”(止不住的那种),而且大牙也出现松动,咬东西有点没力气。
他上网一查,这可能是牙周病的症状,不能再拖了!赶紧挂号!
一番对比下来,他来到南方医科大学深圳口腔医院(坪山),这是深圳首家市属公立三级口腔专科医院,设立了专门治疗牙周病的牙周黏膜病科,拥有全市最多的牙周病专家,设施先进、专业靠谱!
来院检查发现,谢先生确实是全口的重度牙周炎——
几乎所有牙齿都被厚厚的牙结石包裹
形成深牙周袋,多颗牙齿的牙龈探诊深度大于 5mm
牙槽骨中重度吸收,全口牙龈严重退缩、部分牙根暴露在外
多颗牙不同程度松动

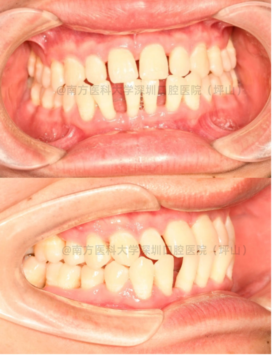
更夸张的是,随着牙周病的不断进展,原本紧密接触的牙齿开始“分道扬镳”,上下前牙间缝隙越来越大,牙齿呈扇形展开,牙缝越来越大。

▲术前全景片提示重度牙周病的典型症状
(淡黄色区域为牙槽骨丧失区域)
同时,他的下颌前牙越来越突,出现全口牙齿咬合关系紊乱,再发展下去可能变成地包天咬合。咀嚼效率大大降低,不敢吃一点硬的或粘的食物,感觉牙齿分分钟就要掉了!
此外,谢先生还发现面型竟然也变了,因下前牙越来越凸,下唇也随之越来越凸,再下去担心可能变成地包天面型!
牙周黏膜病科 黄绮凌 副主任医师确认了谢先生的担忧,告知他需立即接受牙周序列治疗,消除牙周炎症,防止牙槽骨进一步破坏吸收。
并向患者强调,规范治疗虽可控制牙周炎的进展,但已被破坏的软硬组织难以恢复到正常状态。而牙齿咬合紊乱仅通过牙周治疗难以改变,应维持稳定状态,并进一步通过正畸来恢复功能和美观。

▲第一次洗牙后,牙齿“重见天日”
洗完牙后,全口牙结石被清除,牙周炎给牙齿造成的破坏——牙龈退缩、牙周袋形成、牙槽骨吸收等,完全呈现在谢先生面前。
“牙缝太大了不好看,能不能尽快开始矫正牙齿?” 他有了更高的诉求,找到正畸科刘慧君医生,希望在短时期内解决牙齿的所有问题,“帮我关闭牙齿间隙,将‘飞出去’的下前牙拉回来,改善全口咬合,改善牙齿美观及面部美观,提高生活质量。”
两位医生会诊讨论,考虑患者因慢性重度牙周病导致了多颗牙齿松动移位,进而导致牙齿咬合创伤,咬合创伤可以进一步破坏牙周组织,引起牙齿松动加重,牙齿移位加重。
两位医生最终确定牙周-正畸联合治疗的方案。
什么是牙周-正畸联合治疗?
简单地说,是通过牙周科医生和正畸医生的相互配合,综合完成牙周序列治疗和正畸治疗,全面改善患者的牙周状况和咬合关系,并达到长期稳定的治疗效果。它具有几个明显优势:
纠正咬合创伤
更好的牙周治疗效果
更好的远期预后效果
更满足美观要求
许多复杂的口腔问题,需通过多学科联合诊疗解决。随着正畸水平的提高,以及重度牙周炎患者对于功能和美观的需求,牙周-正畸联合治疗逐渐成为主旋律,一般分三步走:
Step 01
牙周序列治疗
让牙周病得到有效控制!
牙周病是一种慢性疾病,涉及牙龈、牙周膜和牙槽骨等多个组织的炎症和破坏。由于病变的范围和深度不同,治疗需要分阶段分步骤进行,如基础治疗(洗牙和龈下刮治)、药物治疗、修复治疗和可能的手术治疗,以便逐步控制和消除炎症。

▲牙周病的序列治疗
需要强调的是,在牙周序列治疗的过程中,牙菌斑和牙结石仍会不断生成,需要患者每天清洁和维护,以防止病情复发和加重。
Step 02
正畸矫治
重建咬合,恢复功能和美观
待牙周状态稳定后,谢先生在正畸科刘慧君医生处接受了全口固定矫治。
刘医生为他做的第一步是𬌗垫治疗,目的是去除前牙的异常咬合力(咬合干扰),避免牙缝继续变大、牙齿松动。
随后在全口牙齿上粘金属自锁托槽,逐步排齐牙齿,关闭牙齿间隙,建立正常的咬合。在每个月的复诊中,给予恰当的咬合力,精细调整全口咬合,形成广泛均匀的咬合基础。
虽然经过规范治疗以后,可以控制牙周炎的进展,但是已被破坏的软硬组织难以恢复到正常状态。
由于患者的牙周状态仍然很脆弱,重度牙周病患者的正畸治疗过程犹如“走钢丝”,要求正畸医生胆大心细,仔细检查每颗牙齿的状态及牙齿咬合情况,然后在每颗牙齿上施加适当的矫治力。同时,仍需定期复查牙周情况。
矫治过程回顾

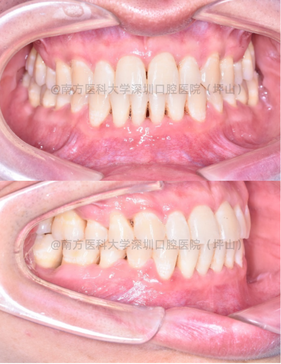
矫治前

矫治后

整个矫正时间历时1年4个月,通过医生及患者的积极配合,最终达到了患者满意的效果。
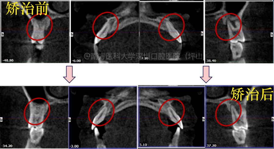
神奇地是,矫正结束后,通过拍摄CBCT检查发现,原本吸收严重的牙槽骨还有明显的新的骨组织生长。说明规范且配合良好的牙周-正畸联合治疗,确实可消除咬合紊乱,促进新骨的沉积,改善牙周炎。

▲牙周正畸联合治疗后,出现牙槽骨再生

▲牙槽骨高度得到部分恢复
Step 03
日常维护、定期复查
“医患共同努力,让牙齿‘重生’!”
“两年时间,真有牙齿‘重生’的感觉!”
谢先生表示,他感到很幸运,第一次看牙就选对了,没有走弯路。
这何尝不是医生的幸运。谢先生刚来医院时,离牙齿松动、脱落并不遥远,但最终收获了一口健康、美观的牙齿,这离不开他自身的努力。
在临床上,不少患者常常会有一些不切实际的希望,要求通过简单的治疗或者一次性的方案,解决牙齿的所有复杂问题。
实际上,口腔健康问题的出现不是“一日之功”,通常是长期不良的口腔卫生习惯、饮食习惯,以及潜在全身性疾病等多种因素共同作用的结果,因此单次治疗或一次性的方案可能无法彻底根治这些问题。
同时,口腔治疗具有特殊性,患者的高依从性可以显著改善治疗效果,减少复发和并发症的发生。
“医患配合取得最好的结果,医生和患者是口腔治疗的共同主体,缺一不可,” 对于谢先生的高度自律和良好依从性, 两位医生均赞誉有加并表示感谢。
成年人也可以正畸
年龄不是决定性因素!
很多人在青少年的时候,错过了矫正牙齿的最佳时机,到了成年或工作以后,又担心年龄大了,无法再进行矫正治疗。
其实,年龄不是决定能否正畸的主要因素,但正畸对牙周健康有着很高的要求!
医生建议,牙齿矫正开始前,最好都到牙周病科先做评估,特别强调口腔卫生的重要性。
中重度的牙周病患者不能过早矫正,如果一上来就做正畸治疗,可能导致牙齿更快松动,甚至正畸不得不停止的程度。
对于未经治疗的牙周炎患者,或虽经治疗但维护不良的牙周炎患者进行正畸治疗,会导致牙周袋加深、炎症复发、牙槽骨加快吸收甚至牙周脓肿的严重后果。
矫正牙齿,应密切关注牙周健康!
正畸前牙周治疗:
先把牙周病控制好,再去做正畸治疗,矫正治疗更好。
正畸中定期维护:
正畸装置不利于菌斑的清除,易导致牙龈炎症,需要认真做好清洁。
牙周辅助正畸:
如果出现骨量或牙龈量不足,可以进行牙周手术,去辅助正畸治疗。
不仅是正畸
在种牙、镶牙前
也应评估牙周健康状况
牙周病不是一个孤立的疾病,它和所有的口腔疾病都是密切相关的。
健康的牙周组织,是许多口腔治疗成功的基础。不管是做正畸、种植还是修复,如果牙周情况得不到改善,就很难达到治疗效果。
1.牙周病 vs 种植

种植牙种完以后不是一劳永逸的,种植牙也可能发生疾病——种植体周病。据统计,种植体周围炎的发生率高达19.83%,值得大家重视。
它和牙周病一样,在种植体的周围组织发生持续破坏,未及时控制,最终导致种植失败。它的主要表现就是种植牙之后牙龈反复的红肿、溢脓,最后导致功能丧失,影响美观。种植体周病:预防大于治疗!
2.牙周病 vs 牙体牙髓
严重的牙周病,可能引起牙髓的逆行性感染,增加整体治疗的难度。

图中这位患者因为牙疼来就诊,检查后发现,他并没有蛀牙和牙齿隐裂的情况,但是牙齿发生明显变色。
进一步检查拍片,我们可以看到,这是因为牙周的感染持续进展,到达根尖引起了牙髓感染,出现牙髓坏死。
3.牙周病 vs 修复

有的朋友做完假牙之后,牙龈一直是红肿的,这其实就是不良修复体引起了牙周病的症状。
医生建议,最好在修复治疗前进行牙周评估和治疗。
同时,修复体的设计在边缘位置、形态和可清洁性、材料选择等方面,都对牙周健康有重要影响,修复治疗与牙周炎的治疗过程应该紧密结合,以求取得理想的效果。
- End -

粤公网安备 44031002000317号