由于智齿生长的数量不同,一个成年人通常有28至32颗牙齿。深圳一名20岁女子杨女士(化名)却长了60多颗牙。
近日,南方医科大学深圳口腔医院(坪山)接诊了一名特殊的患者。医生从她口中竟发现了30多颗额外的“牙齿”,其中还有一颗“牙瘤”,约有腰豆大小,经过一次手术全部取出。

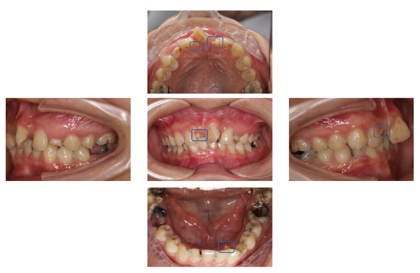
深圳女子牙齿不齐 一查竟是“多生牙”
深圳市民杨女士总觉得自己的牙齿不整齐,每次照镜子,还不时看到几颗小“尖牙”露在外面,特别闹心。
于是来到南方医科大学深圳口腔医院(坪山)打算“箍牙”,也就是牙齿矫治。
没想到拍完牙片后,正畸医生告诉她,
“你的情况比较特殊,这几颗露在外面的牙齿只是冰山一角,其他‘埋伏’的牙齿还有很多,暂时不适合做矫治,先请口腔颌面外科来帮你看看吧。”

于是,杨女士来到口腔颌面外科主治医师马犇博士处就诊。
从牙片上看,她的牙齿简直“乱成了一锅粥”:
在上下颌骨上,除了正常的牙齿以外,还长了30多颗形态各异的“类牙样物质”;
右侧的门牙完全阻生,长在鼻子底下,一颗米粒大的多生牙“鸠占鹊巢”,占了原本门牙的位置;
由于无法咬合,和右侧门牙对应的下中切牙异常伸长,牙齿整体的咬合关系非常差;
多颗牙齿发生龋齿,其中一颗磨牙龋坏只剩下残根;
还有一颗侧切牙,其实是一颗滞留的乳牙;
此外,还发现一个2cm*1.5cm大小的混合型牙瘤,和正常牙齿根尖粘连,未来可能发生病变形成囊肿,导致骨质强度降低,甚至可能引起颌骨骨折、掉牙。

在临床上,经常见到有人多长了一两颗牙齿,但杨女士这种又多又复杂的多生牙,让经验丰富的口腔外科医生也直呼罕见。
经正畸科和口腔颌面外科会诊,由于患者的多生牙数量非常多,骨密度病理性异常升高,呈现骨质不均匀、硬、脆等特点,矫治效果无法预期,失败率高,需要先拔除多余的牙齿。考虑到符合手术指征,而且杨女士想要拔除多生牙的意愿强烈,于是决定进行手术拔除。
一个多小时手术后,医生成功取出了35颗大小形态各异的牙齿、残根或类牙样物质。目前,杨女士术后恢复良好,等待择时矫治。
马犇博士表示,拔除如此多数量的牙齿,手术后需要恢复一段时间,等骨头慢慢长回来,才可以做后续的正畸治疗。治疗后,牙齿的外观和形态将得到较大改善。


医生提醒:多生牙常见于青少年 一旦发现尽早就诊
在临床上,多生牙其实并不少见。医生介绍,多生牙又叫多牙症、额外牙,是指多于正常牙类、牙数以外的牙齿,发病率约为1~3%。
多生牙可以发生于口腔内各个部位。最常见的发生于上前牙区,也有埋藏阻生于颌骨内;有在牙列中,也有在牙弓外,唇颊侧,舌腭侧等处,有的多生牙甚至位于鼻腔内。

这些额外的牙齿,可以在乳牙时期就长出来,也可以在换牙期之后生长;它的形态可以和正常的牙齿一样,有正常的牙冠、牙根等结构,也可是畸形牙、过小牙,或者是类牙样物质。
多生牙的发生与多种因素有关,但其病因至今尚未完全清楚,可能与遗传因素、牙板局部的活性亢进、牙胚异常分裂及人类发育过程中出现‘返祖现象’有关。
它也可能是全身性的综合征疾病,在口腔的表现症状:除了多长牙齿以外,也容易长出别的肿物或组织,比如皮肤上的小疙瘩、脂肪瘤、胃肠道息肉等,可能有恶变的风险。
医生表示,多生牙的主要危害在于影响恒牙发育和牙列排序,一旦发现应及早就诊,评估是否需要拔除:
在儿童青少年时期,多生牙常可引起恒牙迟萌或阻生,出现牙间缝隙、邻牙的错位或者扭转,造成牙列不齐,影响正常咀嚼能力,影响牙齿和面部美观。
多生牙异位萌出,可能造成邻牙牙根吸收,多生牙和邻牙之间的缝隙,易嵌塞食物,容易导致发生龋齿或牙周炎。
多生牙如果是埋藏阻生的,可能会引起含牙囊肿,造成骨质吸收。如果做牙齿正畸,多生牙也会影响牙齿正畸的效果。
在生活中,很多人不知道自己有多生牙。一般来说,已经萌出来的多生牙,很容易被发现;埋伏在颌骨内的多生牙,则需要拍摄X光片、甚至CT检查才能发现。

儿童多生牙病例

多生牙挤占了门牙的正常位置,造成牙齿扭转,拔除多生牙后通过正畸矫治成功。(儿童口腔科田雨医生提供)
医生建议:对于处于生长发育阶段的青少年来说,家长应密切关注孩子的口腔情况,定期带孩子做口腔专科检查。
一旦发现有多生牙的迹象,如牙齿数目形态异常、牙齿不能正常萌出、牙列不齐、牙间隙、牙齿移位或扭转等,应尽早去医院就诊。
早期发现并及时正确处理多生牙,有利于预防或减少错𬌗畸形。
因多生牙造成的牙列不齐、邻牙错位扭转等情况,可以在拔除多生牙之后,做正畸治疗来进行矫正,以获得满意的效果。
那么是不是所有的多生牙都要拔除呢?也不一定。
医生表示,在口中已萌出的多生牙,一般建议尽早拔除。未萌出的多生牙根据CBCT片确定,如位置影响恒牙萌出,则尽早手术拔除。
如果一直没有主观症状,经影像学检查也没有对邻牙产生影响,或经评估拔牙手术风险较大,可以先观察暂不处理。
本期专家介绍

马犇 博士
南方医科大学深圳口腔医院(坪山)
口腔颌面外科主治医师
中山大学光华口腔医学院博士,发表多篇SCI论文;广东省口腔医学会牙槽外科专业委员会委员,江苏省整形美容协会牙科分会委员;曾赴葡萄牙种植中心交流访问。擅长口腔颌面外科常见病诊治,各类牙槽外科微创手术(复杂牙、阻生牙拔除),各类牙缺失种植手术。
学术审核:南方医科大学深圳口腔医院(坪山)口腔颌面外科主任医师 华泽权
-End-
编辑:张 珮
审核:姜 荣

粤公网安备 44031002000317号