最近,外科病房收治了不少因囊肿而入院的患者。深圳一位40岁市民李先生(化名)就是其中之一。
李先生从小牙齿就非常洁白整齐,也比较注意个人口腔卫生,经常有人夸他牙齿好看。他从来没有想过,自己有一天会因为智齿而住进了医院。


一颗横着长的智齿
把下颌骨“啃”出一个大洞
两个月前,李先生忽然觉得右下后牙间歇性疼痛,时不时发作。一周前,右脸忽然肿胀起来,疼得不能入睡。
于是他到某区级医院就诊,诊断为“颌骨肿物”,医生建议,转来我院口腔颌面外科就诊。
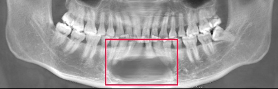
经CBCT检查发现,原来是他的一颗智齿在“捣乱”。
![]()

智齿引起下颌骨囊肿(李延超医生提供)
口腔颌面外科副主任医师 吴训 告诉李先生:
一般来说,大部分智齿不能正常萌出,有的长歪了、有的“打横”了,大多数会造成一些问题。
他的这颗智齿不但完全阻生,而且是朝下方“横着长”的,位置藏得很深。智齿周围的牙囊膨胀形变,不断增生分泌物质,下颌骨受压造成骨质吸收,
形成了一个2.5cm*2cm,约有鹌鹑蛋大小的囊性病变(颌骨含牙囊肿)。
正常的下颌骨高度应该有3厘米左右,因骨质吸收,现高度仅剩下不到5毫米。
如果不小心磕碰到下巴,就可能发生下颌骨骨折。

李先生很惊讶,两个月就“吃”掉了这么多骨头?怎么之前都感觉不到?
医生告诉他,颌骨囊肿往往是自己感觉不到的,如果不是侵犯到了邻牙的根尖,造成了炎症感染和疼痛,患者自己很难发现。
经过一周的抗炎止疼治疗后,李先生住进了外科病房,择期手术。
手术过程非常顺利。吴训副主任医师主刀,精准避开了下牙槽神经血管束,顺利摘除了囊肿,也拔掉了“捣乱”的智齿。术后没有出现任何异常症状,李先生很快就出院了。

囊肿好发于颌骨 常无症状
医生建议:每年做一次口腔检查
吴训医生介绍,口腔颌面部囊肿是指发生于口腔、颌面部的病理性囊腔,在口腔颌面外科较为常见。大多数是良性病变,但易发生感染,一小部分囊肿有癌变的可能。
颌骨为人类骨骼中最好发囊肿的部位。颌骨囊肿根据其组织来源不同而分为牙源性和非牙源性囊肿。其中牙源性颌骨囊肿较多见,常见有根尖周囊肿、始基囊肿、含牙囊肿、角化囊肿等。
值得注意的是,得了颌骨囊肿,患者自己往往感觉不到症状,多数是通过影像学检查发现的。

在临床上,经常见到很多人的囊肿长得很大了,造成骨质吸收变形,牙齿发炎、疼痛,或者软组织肿胀甚至瘘管了,才来看医生。
比如外科病房收治的另一位患者:

34岁男患者,下颌骨发育性囊肿
(李延超医生提供)
入院前3个月,下前牙不时发生疼痛,半个月前感觉到黏膜鼓包,嘴里有咸咸的味道(其实是囊肿内的液体物质渗出),到某口腔诊所拍牙片,看到下颌骨不明阴影。
转入我院口腔颌面外科,经影像学检查发现巨大囊肿,侵犯了多达6~7个牙位,造成牙齿疼痛,诊断为“下颌骨囊肿”。为了防止复发,需要先做根管治疗,再进行囊肿切除术。
还有这位患者:

33岁女,根尖周囊肿、牙源性上颌窦炎
(李延超医生提供)
33岁女患者,四年前曾做根管治疗。一个月前,左上颌反复肿胀疼痛,从外院转入我院口腔颌面外科,诊断为“根尖周囊肿、牙源性上颌窦炎”,由口腔颌面外科主治医师李延超主刀,一次性切除了囊肿和上颌窦的炎症组织。
很多患者关心一个问题:手术治疗之后,缺损的骨头还能长回来吗?
医生表示,由于口腔颌面部血供丰富、新陈代谢较快,大概三个月到半年左右,颌骨可以慢慢生长恢复,但如果囊肿范围过大,骨质缺损过多,可能无法完全长回来。
临床上,经常遇到完全阻生的智齿引起囊肿。因此医生建议,对于大多数不能正位萌出的智齿,最好是进行预防性拔除,以免出现更严重的问题。


医生建议,为了及早发现口腔颌面部异常,每年最好做一次常规的口腔拍片检查。
临床上最常用这三种检查,已全部纳入医保报销范围:
小牙片,能看单个牙齿或局部几颗牙,15元/次
曲面断层(全景牙片),查看全部牙及周围组织情况,85.5元/次
CBCT,对颌面部结构进行三维重建,精度最高,304元/次
大家都说“看牙贵”
其实常规的口腔检查
人人可以负担
牙齿问题不要拖
认准公立口腔专科医院
检查更专业 看牙更放心

粤公网安备 44031002000317号